2020年 第37卷 第2期
2020, 37(2): 195-200.
doi:10.11833/j.issn.2095-0756.2020.02.001
摘要:
目的桂花
Osmanthus fragrans是著名的香化植物,其花芽分化受到环境温度影响。研究环境温度对桂花花芽分化的影响对桂花的花期调控具有重要的指导意义。
方法以桂花品种‘堰虹桂’
O.fragrans‘Yanhonggui’为材料,采用石蜡切片观察其花芽分化进程,运用聚合酶链式反应和实时荧光定量技术对影响温度
FCA(
FLOWERING LOCUS CA)基因分别进行克隆及表达特异性分析。
结果克隆得到
OfFCAcDNA序列长为1 319 bp,其开放阅读框为864 bp,编码287个氨基酸。序列比对及进化分析发现:
OfFCA与木犀科Oleaceae油橄榄
Olea europaea和胡麻科Pedaliaceae芝麻
Sesamum indicum的
FCA相似度较高,同源性可达68%以上。在桂花花芽分化的不同时期,无论叶还是花芽中,19℃环境低温下
OfFCA基因的表达水平均显著高于25℃常温生长条件下的表达水平。
结论桂花
OfFCA基因响应环境相对低温的变化,参与桂花的花芽分化,使桂花的花期提前。
2020, 37(2): 201-208.
doi:10.11833/j.issn.2095-0756.2020.02.002
摘要:
目的淀粉是百合
Liliumspp.鳞茎的主要组成成分,淀粉代谢对于百合鳞茎发育至关重要,对其开展深入研究有助于解决鳞茎繁育慢等产业化难题。
方法以主栽品种东方百合‘索邦’
Lilium‘Sorbonne’离体鳞茎为材料,在观测不同发育时期形态和淀粉积累的基础上,利用cDNA末端快速扩增技术(RACE),克隆淀粉合成代谢关键酶颗粒结合型淀粉合成酶基因
LohGBSSI,并对其开展不同组织及发育期基因表达谱分析。
结果① 根据形态及源-库转换,离体百合鳞茎形成和发育过程可分为小鳞茎膨大初期(0~15 d),小鳞茎快速膨大期(15~55 d)及小鳞茎膨大后期(55~75 d)。②‘索邦’颗粒结合型淀粉合成酶基因
LohGBSSI(GenBank登录号:MF101407.1)全长1 913 bp,开放阅读框(ORF)长为1 665 bp,编码554个氨基酸。氨基酸序列与兰州百合
Lilium davidiivar.
unicolor GBSSI同源性较高(92%),推测该基因可能属于
GBSSI基因家族。③
LohGBSSI基因在鳞茎和叶中表达显著高于茎段和根,表明直链淀粉合成的最主要部位为源-库关键器官;不同发育时期鳞茎内
LohGBSSI的表达在15 d时最高,暗示鳞茎形成初期需淀粉快速合成以便形态建成。
结论为后续解析淀粉合成关键酶基因
GBSS在鳞茎发育中的功能奠定了基础,也为百合进行淀粉相关基因修饰提供了依据。
2020, 37(2): 209-219.
doi:10.11833/j.issn.2095-0756.2020.02.003
摘要:
目的探究文冠果
Xanthoceras sorbifolium优良无性系最佳授粉组合,提高其坐果率、种实产量,为科学配置授粉树及优良种质资源无性系化推广提供参考。
方法以文冠果5个优良无性系为材料,进行花期物候观测、柱头可授性及花粉活力检测。进行控制授粉,分析各授粉组合受精率、坐果率、种实产量及种实性状。
结果① 5个无性系开花时间在4月27日至5月14日。②雌能花开花当天及花后1 d柱头可授性较强。③雄能花初开放和完全开放当天花粉活力较高。④综合考虑各授粉组合受精率、最终坐果率、产量及种实性状得出,10号无性系较佳授粉组合为10×16、10×119,14号、15号、16号最佳授粉组合分别为14×15、15×16、16×15,10号、14号、15号、16号均不适合做119号的授粉无性系。
结论科学的授粉树配置可以提高文冠果坐果率及种实产量。
2020, 37(2): 220-227.
doi:10.11833/j.issn.2095-0756.2020.02.004
摘要:
目的揭示狭果秤锤树
Sinojackia rehderiana自然种群不同生活史个体分布格局,为该种群的保护提供科学依据。
方法以自然分布于江西省永修县的狭果秤锤树种群为对象,采用相邻格子样方调查法、空间代替时间和O-ring完全随机零模型法,对狭果秤锤树自然种群不同生活史阶段个体的空间分布格局和空间关联性进行分析,探讨其空间分布格局形成原因。
结果狭果秤锤树径级结构和高度级结构完整,幼苗和幼树的数量在整个种群中占绝对优势,种群更新状态良好,属增长型种群。狭果秤锤树种群在从幼苗发育到成树的过程中,在小尺度上聚集分布,大尺度上为随机分布至均匀分布;随着龄级的增加,聚集分布趋势减弱。在较小的尺度上,不同生活史阶段个体表现出正相关或不相关,在较大的尺度上则表现为不相关或负相关;负相关性主要表现在幼苗与中树、幼树与中树、幼树与成树间(
P< 0.05)。
结论在自然状态下,狭果秤锤树分布格局受自身生物学特性和种内、种间竞争影响,幼苗和幼树生长受限但数量较多,种群目前尚未达到稳定状态。
2020, 37(2): 228-234.
doi:10.11833/j.issn.2095-0756.2020.02.005
摘要:
目的研究浙江省不同地区毛竹
Phyllostachys edulis林空间结构特征及其差异性。
方法以浙江省不同地区近自然生长的毛竹林为研究对象,共设置54个样地,采用聚集指数、竞争指数和年龄隔离度3个空间结构指数。
结果浙江省不同地区毛竹林竞争指数为2.88~8.81,其中余姚地区最大,庆元地区最小;年龄隔离度为0.30~0.84,其中黄岩地区最大,武义地区最小;聚集指数为0.73~1.24,其中宁海地区最大,余姚地区最小。浙江省不同地区毛竹林年龄隔离度和聚集指数没有显著差异,而不同地区间竞争指数存在显著差异(
P< 0.05)。
结论浙江省毛竹林空间分布格局以聚集分布为主。空间结构指数存在一定的区域变化趋势,从北到南竞争指数逐渐减小。
2020, 37(2): 235-242.
doi:10.11833/j.issn.2095-0756.2020.02.006
摘要:
目的基于多时相遥感影像研究落叶松
Larix gmelini人工林季相特性,采用多种分类方法提取落叶松人工林空间分布,以期得到适用落叶松人工林提取的手段和方法。
方法利用多时相Landsat 8影像,在分析落叶松人工林季相和物候特性的基础上,综合森林资源二类调查成果和样地数据,分别采用最大似然法、支持向量机法、光谱角法和k最近邻法提取研究区的落叶松人工林信息,并进行精度验证。
结果落叶松人工林具有明显的植被光谱特征和季相特性,在近红外波段各树种类别光谱差异最明显,秋季影像对落叶松人工林信息提取效果较好。利用多时相数据对落叶松人工林信息提取精度明显优于单时相数据的提取精度,多时相Landsat 8影像能使落叶松人工林分类精度达86%以上,其中光谱角法最好,精度为88.346 3%。
结论利用多时相特征遥感影像进行落叶松人工林信息提取研究,有着一定的可行性和适用性,研究结果对大面积获取落叶松人工林的空间位置分布提取具有一定的参考价值。
2020, 37(2): 243-250.
doi:10.11833/j.issn.2095-0756.2020.02.007
摘要:
目的合理评价森林生态功能,为制定提升森林生态功能相应措施提供依据。
方法以广东南雄观音岽自然保护区为例,选取与森林生态功能相关的19项指标,通过投影寻踪分类法构建森林生态功能评价体系。
结果① 保护区中"较优"等级森林占据明显优势,但保护区整体评级为"中"。②保护区森林结构整体较好,但竹林多,幼龄林较多,森林蓄积能力、自然度较弱。③19项评价指标中,郁闭度、枯枝落叶厚度、公顷株数、平均高、总覆盖度是极重要指标;坡位、自然度、海拔、龄组、土层厚度、森林群落结构、平均胸径、坡向是一般重要指标;公顷生物量、公顷蓄积量、树种结构、健康度、坡度、土壤类型是不重要指标。
结论针对各个评价等级的森林,建议如下:①对"优"和"较优"等级森林进行监测与保护;"中"等级森林需寻找得分较差原因,对症保护,进行重点监测;"差"和"较差"等级森林进行封山抚育。②适当控制竹林的生长范围。③根据评价结果适当调整保护区功能。
2020, 37(2): 251-258.
doi:10.11833/j.issn.2095-0756.2020.02.008
摘要:
目的城市交通噪声对城市居民生活品质的影响日益严重,城市道路林带在衰减交通噪声方面优势明显。合理选取城市绿化带降噪能力衡量指标,使城市绿化带建设能够达到最优降噪效果。
方法选取长江三角洲地区4条纬度带上11个县(市、区)交通主干道的道路林带作为研究对象,引入三维绿量作为衡量林带降噪能力的指标,结合不同类型林带的占比、三维绿量值以及三维绿量值与乔木及乔木混交林枝下高,综合对比分析林带降噪效果,进行初步评估。
结果11个县(市、区)中南京玄武区、镇江润州区交通干道道路林带的降噪效果更优,连云港连云区、丽水庆元县的交通干道道路林带的降噪效果较差。具有合理配置的乔灌混交林更利于降噪,由模拟模型计算得到的11个县(市、区)的附加降噪量与统计获得的三维绿量之间呈正相关关系。
结论林带三维绿量结合乔木枝下高这一参数综合分析认为:枝下高低于2 m的林带降噪效果更佳。
2020, 37(2): 259-265.
doi:10.11833/j.issn.2095-0756.2020.02.009
摘要:
目的探究浙江省东部玄武岩发育土壤的发生演化过程,对当前亚热带地区土壤的发生和演变提供更全面的认识,从而有利于促进对该区域土地资源的高效利用。
方法选取新昌-嵊州盆地4个玄武岩风化壳母质发育土壤剖面,分析土壤的常量元素组成、化学风化指标[化学蚀变指数(
I
CIA)、化学风化指数(
I
CIW)]和元素迁移率。
结果① 不同土壤剖面中常量元素质量分数以二氧化硅(SiO
2)、氧化铝(Al
2O
3)和三氧化二铁(Fe
2O
3)为主,三者质量分数可达79%以上。②
I
CIA为42.81%~87.37%,
I
CIW为45.04%~91.43%,两者均指示中等强度化学风化。③大多数土壤样品的常量元迁移率为负值。钙(Ca)、钾(K)、镁(Mg)、钠(Na)等易溶元素大量淋失,在剖面中的迁移率表现为明显的负值(最小值可达-99%),铝(Al)、铁(Fe)、钛(Ti)元素在部分剖面的淀积层(B)相对富集,迁移率>0。常量元素的迁移率随土壤深度呈逐渐降低的趋势。
结论① 研究区不同剖面土壤样品的化学组成具有较好的一致性。②研究区较为湿热环境下,土壤经历了较为强烈的化学风化过程。③土壤发育过程符合亚热带地区脱硅富铝铁的基本成土过程。各剖面土壤常量元素迁移率随土壤深度的变化规律,揭示了基岩发育土壤自下而上的风化渐进特征。
2020, 37(2): 266-272.
doi:10.11833/j.issn.2095-0756.2020.02.010
摘要:
目的研究栽植密度对毛白杨
Populus tomentosa林地土壤养分的影响。
方法在3种不同栽植密度[行距×株距分别为2 m×2 m(T
1)、4 m×3 m(T
2)和4 m×5 m(T
3)]下,对10年生毛白杨速生丰产林试验地0~5、5~10、10~20、20~40、40~60和60~100 cm共6个土层的有机质、碱解氮、有效磷和速效钾质量分数进行了分析。栽植密度对土壤养分的影响用单因素分析法,数据间的多重比较用Ducan法。
结果0~20 cm土层有机质、碱解氮、有效磷和速效钾所占比例分别为69%、79%、71%和74%;不同栽植密度下土壤养分质量分数不一致:T
2栽植密度下有机质在0~5 cm处最高,为15.44 g·kg
-1,显著高于T
1,在5~20 cm土层处3栽密度间有机质差异显著(
P< 0.05),大小依次为T
3、T
2、T
1,在20~100 cm土层处T
1显著低于T
3和T
2(
P< 0.05);碱解氮在T
2下为14.5~142.7 mg·kg
-1,高于T
1和T
3(除5~10 cm);有效磷为1.3~12.4 mg·kg
-1,5~40 cm土层T
2显著高于T
1和T
3(
P< 0.05),40~100 cm土层大小依次为T
3、T
2、T
1;栽植密度对速效钾无显著影响(
P>0.05)。
结论10年生毛白杨林地土壤养分富集在0~20 cm土层,栽植密度为2 m(行距)×2 m(株距)的养分低于栽植密度为4 m×3 m和4 m×5 m,养分质量分数随栽植密度和不同土层的变化而变化。
2020, 37(2): 273-283.
doi:10.11833/j.issn.2095-0756.2020.02.011
摘要:
目的揭示添加石灰石粉和微生物肥料对发病山核桃
Carya cathayensis林土壤化学性质和微生物群落的影响。
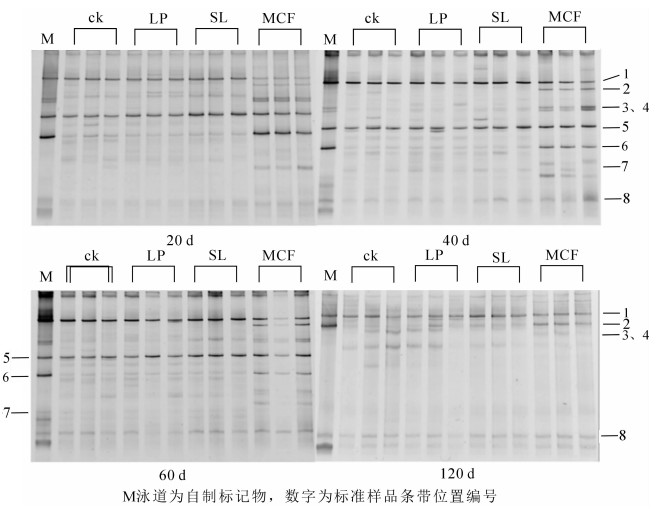
方法以死亡的山核桃林地土壤为试验对象,开展添加对照土(ck)、石灰石粉(LP)、芽孢杆菌
Bacillus液(SL)、微生物复合肥(MCF)等处理的培养试验。分别在20、40、60、120 d时采集土壤样品,应用常规理化分析方法、定量PCR和变性梯度凝胶电泳(PCR-DGGE)方法,分析不同处理对山核桃林土壤化学性质、微生物群落结构的影响以及添加的有益菌剂在土壤中的竞争能力和存活时间。
结果LP处理提高了土壤pH值,但对土壤化学性质和微生物群落没有显著影响。SL处理和MCF处理显著(
P< 0.05)增加了土壤有机质和碱解氮、有效磷和速效钾养分;SL处理提高了土壤pH值,短期内(60 d)提高了细菌和真菌的丰度,但微生物多样性降低;MCF处理降低土壤pH值,显著(
P< 0.05)增加了土壤真菌的丰度,短期内(40 d)增加了细菌丰度,但细菌群落的多样性显著降低(
P< 0.05),真菌多样性增加不明显。DGGE图谱结果表明:MCF处理和SL处理添加的有益微生物有效时间长达120 d,能很好地发挥其促生长、增加有益菌的比例,调节土壤微生物群落结构的作用。
结论MCF、SL和LP可明显改良山核桃林地土壤化学性状和提高土壤有益菌数量,可作为退化山核桃林地的土壤改良剂。
2020, 37(2): 284-290.
doi:10.11833/j.issn.2095-0756.2020.02.012
摘要:
目的揭示不同栽培环境对铁皮石斛
Dendrobium catenatum内生细菌群落结构的影响,解析与石斛多糖含量存在潜在关联的功能菌种。
方法针对温室人工基质培养和仿野生立木附生培养2种栽培体系下的铁皮石斛C9品系根、茎、叶等各部组织内生细菌,采用Illumina测序平台的Miseq进行高通量测序分析其菌落结构和多样性,同时利用逐步回归法分析内生细菌分布与组织多糖质量分数的关联性。
结果铁皮石斛在2种栽培环境不同组织中的菌群结构差异显著(
P< 0.05),附生立木仿野生环境比温室环境下物种丰富度更高。同时,根部所含分类操作单元(OTUs)数量最多(112~630个),叶部则最少(28~73个)。其中,厚壁菌门Firmicutes(16.7%~34.9%)、拟杆菌门Bacteroidetes(8.7%~35.6%)和变形菌门Proteobacteria(15.9%~42.0%)的OTUs占优势。从菌种生理功能上看,固氮相关的菌种如弗兰克菌科Frankiaceae在树培环境下相对丰度更高,推测可能受树培寡氮环境的影响使固氮菌富集。逐步回归分析结果显示:不动杆菌
Acinetobacter在根、茎、叶不同组织中的相对丰度与多糖质量分数变化关联度最大,其次为假单胞菌
Pseudomonas。
结论铁皮石斛内生细菌资源相当丰富,而栽培方式影响菌群分布,且与石斛多糖质量分数具有关联性。
2020, 37(2): 291-295.
doi:10.11833/j.issn.2095-0756.2020.02.013
摘要:
目的中国小麦花叶病毒(Chinese wheat mosaic virus,CWMV)是引起小麦黄花叶病的重要病原之一。获得表达CWMV外壳蛋白(coat protein,CP)的转基因烟草
Nicotiana benthamiana(OECP)并分析其抗病性,为培育小麦抗病材料奠定工作基础。
方法利用体外重组DNA技术构建含有CWMV外壳蛋白基因的表达载体,并通过农杆菌介导的转化方法,获得OECP。进一步利用Western Blot和PCR检测明确CWMV的外壳蛋白在OECP中能够正常的表达。
结果部分转基因阳性植株出现矮化表型。此外,OECP阳性植株接种CWMV后7 d的定量分析表明,OECP中CWMV运动蛋白的表达量显著受到抑制。
结论在烟草中表达CWMV的CP蛋白基因可显著增强烟草对CWMV的抗病性。
2020, 37(2): 296-302.
doi:10.11833/j.issn.2095-0756.2020.02.014
摘要:
目的研究香榧瘿螨
Nalepella abiesis对香榧
Torreya grandis‘Merrillii’叶片的为害机制,对叶片结构及叶绿素质量分数的影响,可为香榧瘿螨的防治提供理论依据。
方法利用正置显微镜、扫描电镜和透射电镜研究螨害对香榧叶片组织结构、气孔结构以及叶绿体超微结构的动态变化,并用分光光度法测定叶绿素质量分数的动态变化。
结果随着螨害时间的持续,香榧叶片叶肉栅栏细胞形状改变,细胞数量减少;螨害第40天时,栅栏组织厚度明显减小,海绵细胞亦缩水变小,海绵组织更为松散;气孔区域部分角质钉结构破损,保卫细胞缩小,气孔器有明显的损伤和萎缩。叶肉细胞逐渐膨胀变形,细胞间隙变大,叶绿体数量逐渐减少,并出现膨大的淀粉粒;螨害第12天时,叶绿体内嗜锇颗粒数量明显增多,基粒片层排列逐渐散乱,结构不清晰,螨害第25天时则变得模糊,到螨害第40天时片层结构瓦解消失。接种瘿螨的处理与未接种瘿螨的对照相比,0~12 d叶绿素质量分数无显著差异,但在25~40 d叶绿素质量分数差异显著(
P< 0.05);随着螨害时间的持续,叶绿素质量分数下降更多。
结论香榧瘿螨吸食破坏了香榧叶片叶肉细胞和气孔器的结构,使得叶绿素质量分数减少,从而影响了香榧叶片正常的光合作用。
2020, 37(2): 303-310.
doi:10.11833/j.issn.2095-0756.2020.02.015
摘要:
目的基于分子生物学手段,探讨可快速准确鉴别锈色粒肩天牛
Apriona swainsoni幼虫与其他天牛幼虫的目标基因,为该保健昆虫的食药用安全提供保障。
方法利用线粒体
COⅠ、
COⅡ、
Cytb基因和28
S细胞核基因的通用引物分别克隆获得4种基因片段,并进行同源序列检索、多重比对、序列信息分析及进化树构建。
结果基因克隆最终获得锈色粒肩天牛4种基因序列的片段大小分别为817、545、434和1 088 bp。特殊位点分布结果显示:28
S的保守位点占比最高,其后依次为
Cytb、
COⅠ和
COⅡ,变异率则正好相反。
COⅠ、
COⅡ和
Cytb基因片段的碱基组成和替换信息特点均表现为A+T含量>G+C含量,颠换高于转换,28
S基因片段则表现为A+T含量A.germari等其他天牛幼虫区分开。
结论
COⅠ、
COⅡ、
Cytb和28
S基因均可作为鉴定该虫的分子生物学参考依据。
2020, 37(2): 311-318.
doi:10.11833/j.issn.2095-0756.2020.02.016
摘要:
目的通过研究寄主植物、温度对金银花尺蠖
Heterolocha jinyinhuaphaga幼虫消化酶活性的影响,为深入研究金银花尺蠖环境适应性的生理生化机制奠定基础。
方法采用3,5-二硝基水杨酸法、福林-酚法和标准氢氧化钠溶液滴定法,通过分光光度计和滴定管测定了寄主植物、温度对金银花尺蠖幼虫消化酶活性的影响。
结果取食3个金银花
Lonicera japonica品种‘九丰1号’‘Jiufeng No.1’、‘响水1号’‘Xiangshui No.1’、‘响水2号’‘Xiangshui No.2’和野生金银花后,金银花尺蠖各龄幼虫消化酶活性均不一样。取食野生金银花的金银花尺蠖淀粉酶、蔗糖酶和蛋白酶活性均最高,脂肪酶活性最低,在1龄幼虫中4种消化酶的活性分别为18.37、26.45、22.31和5.54 mmol·g
-1·min
-1。4种消化酶活性均随着幼虫龄期的增加而增大,取食4种金银花后5龄幼虫的淀粉酶活性分别比1龄幼虫增加了33.39%、27.48%、33.31%和45.29%,蔗糖酶活性分别增加了19.12%、15.02%、14.64%和29.64%,蛋白酶活性分别增加了25.55%、18.69%、21.69%和41.46%,脂肪酶活性分别增加了84.95%、68.04%、68.41%和77.80%。在16~34℃,4种消化酶活性均随着温度的升高表现为先上升后下降的趋势,1~5龄幼虫的淀粉酶活性在22℃最高,分别为19.95、20.57、21.79、23.64和25.86 mmol·g
-1·min
-1;1~5龄幼虫的蔗糖酶活性在22℃最高,分别为27.65、28.89、29.85、31.45和32.89 mmol·g
-1·min
-1;1~5龄幼虫的蛋白酶活性在25℃最高,分别为21.65、22.76、23.43、25.71和26.98 mmol·g
-1·min
-1;1~5龄幼虫的脂肪酶活性在28℃最高,分别为7.38、8.49、9.81、11.33和13.21 mmol·g
-1·min
-1。方差分析显示:寄主植物和幼虫龄期的交互作用,以及温度和幼虫龄期的交互作用对金银花尺蠖幼虫4种消化酶活性均没有显著影响。
结论寄主植物、温度能影响金银花尺蠖幼虫消化酶的活性。
2020, 37(2): 319-324.
doi:10.11833/j.issn.2095-0756.2020.02.017
摘要:
目的探讨多壁碳纳米管和重金属的相互作用,对复合生态毒性评价具有重要意义。
方法测定3种不同官能团多壁碳纳米管(短、短羟基和短羧基)与镉离子(Cd
2+)对大肠埃希菌
Escherichia coli的单独及复合毒性,并通过碳纳米管zeta电位测定、沉降和吸附实验揭示短多壁碳纳米管-Cd
2+混合物的细菌毒性及影响机制。
结果3种多壁碳纳米管细菌毒性从强到弱依次为短多壁碳纳米管、短羧基多壁碳纳米管、短羟基多壁碳纳米管。100 mg·L
-1短多壁碳纳米管混合不同质量浓度(0、1、2、4、8、10 mg·L
-1)Cd
2+,复合毒性从强到弱依次为短多壁碳纳米管-Cd
2+、短羧基多壁碳纳米管-Cd
2+、短羟基多壁碳纳米管-Cd
2+,且复合毒性都小于两者叠加毒性。不同质量浓度(10、20、50、100、200 mg·L
-1)多壁碳纳米管混合1 mg·L
-1Cd
2+,复合毒性从强到弱依次为短多壁碳纳米管-Cd
2+、短羧基多壁碳纳米管-Cd
2+、短羟基多壁碳纳米管-Cd
2+。
结论多壁碳纳米管-Cd
2+混合物的细菌毒性主要取决于多壁碳纳米管对Cd
2+的吸附状况。
2020, 37(2): 325-334.
doi:10.11833/j.issn.2095-0756.2020.02.018
摘要:
目的以废报纸为原料,通过氮气(N
2)保护在不同热解温度下制备生物质炭,并探讨废报纸基生物质炭对铜离子(Cu
2+)的吸附性能和吸附机制。
方法采用元素分析、比表面积分析仪(BET)、傅里叶红外光谱(FTIR)、X射线光电子能谱(XPS)、扫描电镜(SEM)、X射线衍射仪(XRD)和原子吸收光谱仪(AAS)等对生物质炭进行表征。
结果所制备的生物质炭具有多孔结构,比表面积高(211 m
2·g
-1),有利于从水中去除Cu
2+。生物质炭的物理和化学性质随着热解温度的变化而变化。随着热解温度的升高,生物质炭的芳香性、比表面积、pH和灰分含量逐渐增加,而氢、氮和氧含量下降。同时进行批量吸附试验,分析溶液初始pH、吸附时间、初始浓度、不同吸附温度对生物质炭吸附容量的影响。热解温度为400、500、600℃的生物质炭在30℃、pH为5.0的条件下最大吸附容量分别为107、115和138 mg·g
-1。伪二级动力学模型和Langmuir等温吸附模型能很好地模拟吸附过程,表明在此吸附过程中,化学吸附是限速步骤,吸附发生在吸附剂内特定的均相位点(单层吸附)。通过热力学模型计算所得Δ
H
o为正值,表明吸附过程是吸热反应。此外,生物质炭的吸附机制包括沉淀作用、离子交换、π-π作用和络合反应。
结论本研究以废报纸为原料,所制备的生物质炭是具有一定应用前景的、环境友好的、高效的Cu
2+吸附材料。
2020, 37(2): 335-342.
doi:10.11833/j.issn.2095-0756.2020.02.019
摘要:
目的以毛竹
Phyllostachys edulis竹材为原料,经球磨分别通过LiCl/DMSO溶剂体系的溶解、再生处理、纤维素酶水解,得到的酶解残渣进行溶剂抽提、纯化,分离出竹材中的再生酶解木质素(RCEL)。
方法木质素化学成分按照标准方法测定,木质素结构单元的变化通过红外、碱性硝基苯氧化、核磁共振波普分析,采用X射线衍射比较再生前后的纤维素结晶区变化。用凝胶渗透色谱测定木质素的分子量及其分布。
结果经由化学成分结果得知:RCEL的得率和纯度都较高。经红外、元素分析、硝基苯氧化、凝胶渗透色谱、核磁共振等手段表征表明:分离得到的竹材RCEL为GSH型木质素,缩合程度略高于纤维素酶解木质素(CEL),其中,紫丁香基结构单元含量较高,达50%,分离过程中结构单元比例没有变化。从分子量及其分布来看,竹材RCEL数均分子量和重均分子量都较高,分离过程中木质素降解较少。经X射线衍射分析,经LiCl/DMSO体系溶胀处理后纤维素的结晶度有所下降。RCEL木质素热失重温度为200~600℃,600℃后失重趋于稳定,木质素缩合程度不同会导致不同的热解特性。
结论基于LiCl/DMSO溶剂体系的分离方法,对木质素大分子结构有较好的保护作用,对碳水化合物有很好的降解作用,可以改变纤维素结晶区的结构,降低结晶度,从而能促进纤维素的降解,提高酶解效率,有利于高效分离CEL。与传统分离方法得到的球磨木质素(MWL)、CEL相比,经过LiCl/DMSO溶剂体系处理后得到的竹材RCEL,能较好地代表竹材的木质素。
2020, 37(2): 343-349.
doi:10.11833/j.issn.2095-0756.2020.02.020
摘要:
目的探讨竹叶和高密度聚乙烯(HDPE)制备竹叶基复合材料的可行性,以提高竹叶的附加值,实现竹叶废弃物的综合利用。
方法以经乙醇提取后的毛竹
Phyllostachys edulis叶为原料,HDPE为增强基体,添加适量助剂,采用热压成型与注塑成型2种工艺制备竹叶/HDPE复合材料。利用傅里叶变换红外光谱(FTIR)、X射线衍射仪(XRD)、扫描电镜(SEM)、热重分析仪(TGA)进行结构与性能的表征,探究不同成型工艺下不同竹叶质量分数对复合材料的性能影响。
结果热分析结果表明:2种工艺制备的竹叶/HDPE复合材料热稳定性均随着竹叶质量分数的增加而提高。力学性能结果表明:随竹叶质量分数增加,注塑成型竹叶/HDPE复合材料拉伸强度逐渐降低,抗拉模量逐渐增大;弯曲强度先增大后减小,当竹叶质量分数为40%时,热压成型和注塑成型复合材料弯曲强度均达到最大,分别为28.72和30.20 MPa。随竹叶质量分数增加,2种工艺制备的复合材料弯曲模量逐渐增大,最大值分别为1 564.92和1 696.15 MPa;冲击强度逐渐减小。
结论相比而言,热压成型竹叶/HDPE复合材料热力学性能更加稳定,是具有一定应用前景的、环境友好的新型材料。
2020, 37(2): 350-356.
doi:10.11833/j.issn.2095-0756.2020.02.021
摘要:
目的以氟气作为改性剂,利用其较强的渗透性和反应活性与木材细胞形成化学键,达到长效存留和改性竹材的目的。
方法将4年生的毛竹
Phyllostachys edulis置于管式反应器中,通入质量百分比为25%的氟气,在150℃下反应4 h。为了进一步提高氟化效果,先用不同质量分数硫酸预处理竹材,再进行高温氟化处理。
结果氟化反应主要发生在木质素上。氟化材红外光谱说明氟化处理材在739 cm
-1处产生了表征碳氟键(C-F)的新峰,浓硫酸预处理氟化竹材在878和1 088 cm
-1出现木质素苯环氟多取代(C-F
n)吸收峰。X射线光电子能谱中结合能为687.8 eV的C-F特征峰和689.2 eV的C-F
2特征峰证实了氟化处理竹材中C-F
n键的生成。热氟化试块在3次吸湿-干燥和吸水-干燥循环中平均抗胀率分别为19.1%和7.5%。硫酸预处理能进一步提高氟化材的尺寸稳定性,其中20 g·kg
-1的硫酸预处理氟化材效果最为显著,平均抗胀率分别达31.0%和15.8%。防霉测试显示氟化处理材对木霉
Trichoderma viride、青霉
Penicillium citrinum和黑曲霉
Aspergillus niger混合霉菌的抑制效果不明显,硫酸预处理后的氟化材防霉性能有所增加。
结论竹材气相热氟化能对竹材内部进行改性,处理后的竹材尺寸稳定性和防霉性能均优于未处理竹材。利用氟气对竹材进行气相改性是一种渗透性强、反应活性高的竹材改性新技术。
2020, 37(2): 357-365.
doi:10.11833/j.issn.2095-0756.2020.02.022
摘要:
[目的]在边际报酬递减规律与资源环境的共同约束下,依靠要素投入推动农业增长不可持续,因此,不断提高农业全要素生产率(TFP)对中国农业可持续增长尤其重要。[方法]采用乘积完备(multiplicatively complete)的Hicks-Moorsteen全要素生产率指数,将中国农业全要素生产率增长彻底分解为技术进步、技术效率变化、规模效率变化和混合效率变化,农业结构调整通过改变混合效率,进而影响农业全要素生产率增长。[结果]从时间维度上看,仅1992-1997年混合效率变化为农业全要素生产率增长贡献了0.5个百分点,即该时期农业结构调整促进了农业全要素生产率增长。从地区维度上看,仅东部地区混合效率变化为东部地区农业全要素生产率增长贡献了0.4个百分点,即东部地区农业结构调整推动了东部地区农业全要素生产率增长。中国农业全要素生产率增长主要来自技术进步,农业结构调整对农业全要素生产率增长的影响效应在时空上存在较大差异。[结论]农业结构应根据市场需求、资源禀赋和比较优势进行调整,才能提高混合效率,进而推动农业全要素生产率增长。
[目的]在边际报酬递减规律与资源环境的共同约束下,依靠要素投入推动农业增长不可持续,因此,不断提高农业全要素生产率(TFP)对中国农业可持续增长尤其重要。[方法]采用乘积完备(multiplicatively complete)的Hicks-Moorsteen全要素生产率指数,将中国农业全要素生产率增长彻底分解为技术进步、技术效率变化、规模效率变化和混合效率变化,农业结构调整通过改变混合效率,进而影响农业全要素生产率增长。[结果]从时间维度上看,仅1992-1997年混合效率变化为农业全要素生产率增长贡献了0.5个百分点,即该时期农业结构调整促进了农业全要素生产率增长。从地区维度上看,仅东部地区混合效率变化为东部地区农业全要素生产率增长贡献了0.4个百分点,即东部地区农业结构调整推动了东部地区农业全要素生产率增长。中国农业全要素生产率增长主要来自技术进步,农业结构调整对农业全要素生产率增长的影响效应在时空上存在较大差异。[结论]农业结构应根据市场需求、资源禀赋和比较优势进行调整,才能提高混合效率,进而推动农业全要素生产率增长。
2020, 37(2): 366-373.
doi:10.11833/j.issn.2095-0756.2020.02.023
摘要:
目的探索游客对不同森林文化价值感知的差异,以及差异产生的原因。
方法在界定森林文化价值内涵和外延的基础上,确定了8个类别的森林文化价值,并以此设计调查问卷研究了游客对天目山森林文化价值的感知。
结果71.2%的游客认可了天目山的这8类森林文化价值,其中身心健康(认同人数占比95.5%,平均分1.62)和审美(认同人数占比95.5%,平均分1.48)的认同人数最多,得分也最高;休闲游憩(认同人数占比85.6%,平均分1.39)、教育科研(认同人数占比87.1%,平均分1.3)、地方感(认同人数占比87.9%,平均分1.25)、文化遗产(认同人数占比83.0%,平均分1.17)次之;灵感(认同人数占比75.8%,平均分0.97)、宗教和精神服务(认同人数占比71.2%,平均分0.88)的认同人数最少,得分也最低。游客背景对森林文化价值的感知也有一定的影响。40岁以下受访游客对休闲与游憩价值感知显著低于其他年龄段,40~60岁受访游客对休闲与游憩、审美、地方感的感知均高于其他年龄段。游客对天目山审美和地方感的感知会随着停留时间延长先上升后下降,停留1周至1个月的游客感知最高。
结论因此,在天目山景区的建设过程中要避免对身心健康和审美价值的过度开发,加强对灵感、宗教和精神服务价值的挖掘。
2020, 37(2): 374-381.
doi:10.11833/j.issn.2095-0756.2020.02.024
摘要:
目的探讨浙江省森林特色小镇在省域尺度上的空间布局特征,并对影响空间布局的人文和自然因素进行研究。
方法以浙江73个森林特色小镇、121个省级及以上森林公园的地理数据以及各市相关自然社会状况指标作为研究对象,采用最邻近指数、基尼系数、相关性分析与核密度分析,对特色小镇的空间分布特征及影响因素进行了研究。
结果浙江省73个森林特色小镇的整体空间分布类型为凝聚型,分布在浙北、浙东和浙南的小镇为均匀型,分布在浙西的小镇为凝聚型;从均衡性来看,不同地级市内的森林特色小镇数量分布合理,另外根据核密度值由密到疏的散布情况,可以将小镇分为3个主要梯队,其中湖州西部与北部为第1梯队,衢州中北部为第2梯队,丽水、温州和台州的部分区域为第3梯队。资源禀赋、政策环境、山区分布、交通条件以及临近城市等因素对3个梯队的划分产生了影响。
结论森林特色小镇的成长以当地林业产业为重要支柱,并以第一、三产业为主导产业,小镇集中分布在经济欠发达的地区;森林特色小镇沿山麓与山谷地带布置的趋势十分明显,且高速公路网有利于小镇的落地发展,但地级中心城市对森林特色小镇布局的影响十分有限;从森林特色小镇的选址与森林公园分布的空间高关联度可以看出,周边丰富的森林资源是森林特色小镇发展至关重要的保障,浙江其他地区发展森林特色小镇的潜力仍然巨大。
2020, 37(2): 382-390.
doi:10.11833/j.issn.2095-0756.2020.02.025
摘要:
种子是农业实际生产中最根本的生产资料,种子活力的高低将直接影响农业生产和发展。种子活力的检测方法可分为无损和有损检测两大类。种子活力无损检测方法具备不损伤种子样本、检测效率高、可在线化检测、实验可重复性好以及实验污染少等优点,有近红外光谱检测技术、高光谱检测技术、电子鼻检测技术、机器视觉检测技术等多种无损检测法。基于国内外种子活力无损检测技术的发展现状,本研究综合评述了种子活力无损检测方法、技术以及检测结果,归纳了不同活力检测的特点、应用现状、研究进展以及在实际应用中优势和缺点,同时对种子活动检测技术发展趋势进行展望。
种子是农业实际生产中最根本的生产资料,种子活力的高低将直接影响农业生产和发展。种子活力的检测方法可分为无损和有损检测两大类。种子活力无损检测方法具备不损伤种子样本、检测效率高、可在线化检测、实验可重复性好以及实验污染少等优点,有近红外光谱检测技术、高光谱检测技术、电子鼻检测技术、机器视觉检测技术等多种无损检测法。基于国内外种子活力无损检测技术的发展现状,本研究综合评述了种子活力无损检测方法、技术以及检测结果,归纳了不同活力检测的特点、应用现状、研究进展以及在实际应用中优势和缺点,同时对种子活动检测技术发展趋势进行展望。
2020, 37(2): 391-396.
doi:10.11833/j.issn.2095-0756.2020.02.026
摘要:
目的进行离体培养关键因子优化,以满足火焰南天竹
Nandina domestica‘Firepower’的规模化生产。
方法以火焰南天竹茎段为外植体,通过对影响不定芽诱导、增殖生长和生根的基本培养基、6-苄基腺嘌呤(6-BA)和萘乙酸(NAA)不同质量浓度配比、白砂糖质量浓度及pH值等关键因子的研究,优化火焰南天竹茎段离体培养再生体系。
结果WPM+0.50 mg·L
-16-BA+0.10 mg·L
-1NAA为火焰南天竹不定芽诱导的理想培养基,不定芽诱导率为93.8%,且生长健壮;WPM+0.75 mg·L
-16-BA+0.10 mg·L
-1NAA为不定芽增殖培养基,增殖倍数3.3,新芽鲜绿色、生长良好;1/2WPM+0.50 mg·L
-1NAA+白砂糖30.0 g·L
-1(pH 6.0)为生根培养基,生根率达95.0%。
结论本研究建立的火焰南天竹的离体培养再生体系可为其大规模生产提供技术支撑。






























