2016年 第33卷 第6期
2016, 33(6): 921-927.
doi: 10.11833/j.issn.2095-0756.2016.06.001
摘要:
‘无籽’瓯柑Citrus suavissima ‘Seedless’是野生型瓯柑Citrus suavissima的芽变,其花粉完全败育,败育起始于小孢子母细胞减数分裂形成四分体时期。研究‘无籽’瓯柑小孢子母细胞减数分裂异常的分子机制,有利于深入认识果树芽变的发生机制。随机选择“无籽”瓯柑和瓯柑各3株,根据花蕾直径采集花粉母细胞时期(Ⅰ),四分体时期(Ⅱ),单核花粉粒时期(Ⅲ),双核花粉粒时期(Ⅳ)及花粉粒成熟期(Ⅴ)共5个时期的花蕾并分离花药,利用实时荧光定量聚合酶链式反应(qRT-PCR)分析减数分裂特性基因RAD51和MS1的相对表达量,3次重复。通过SPSS 16.0的最小显著差法(LSD)在0.01水平上进行各样品间的相对表达量差异分析。结果表明:RAD51和MS1基因的表达高峰均集中在第Ⅰ时期和第Ⅱ时期,且此时花药中的相对表达量均极显著(P<0.01)高于花蕾。第Ⅰ时期花药中,‘无籽’瓯柑RAD51的相对表达量为瓯柑的3.7倍,MS1可达300倍;但同时期花蕾中,RAD51的相对表达量仅1.1倍,MS1为140.0倍。‘无籽’瓯柑RAD51基因在第Ⅰ时期和第Ⅱ时期的相对表达量极显著(P<0.01)高于瓯柑,说明‘无籽’瓯柑小孢子母细胞和四分体时期的细胞内均存在DNA受损现象;‘无籽’瓯柑MS1基因在第Ⅰ时期的相对表达量极显著(P<0.01)高于瓯柑,但第Ⅱ时期极显著(P<0.01)低于瓯柑,推测‘无籽’瓯柑败育花粉的形成与MS1基因表达紊乱引起油脂分泌、转运异常密切相关。图6表1参24
‘无籽’瓯柑Citrus suavissima ‘Seedless’是野生型瓯柑Citrus suavissima的芽变,其花粉完全败育,败育起始于小孢子母细胞减数分裂形成四分体时期。研究‘无籽’瓯柑小孢子母细胞减数分裂异常的分子机制,有利于深入认识果树芽变的发生机制。随机选择“无籽”瓯柑和瓯柑各3株,根据花蕾直径采集花粉母细胞时期(Ⅰ),四分体时期(Ⅱ),单核花粉粒时期(Ⅲ),双核花粉粒时期(Ⅳ)及花粉粒成熟期(Ⅴ)共5个时期的花蕾并分离花药,利用实时荧光定量聚合酶链式反应(qRT-PCR)分析减数分裂特性基因RAD51和MS1的相对表达量,3次重复。通过SPSS 16.0的最小显著差法(LSD)在0.01水平上进行各样品间的相对表达量差异分析。结果表明:RAD51和MS1基因的表达高峰均集中在第Ⅰ时期和第Ⅱ时期,且此时花药中的相对表达量均极显著(P<0.01)高于花蕾。第Ⅰ时期花药中,‘无籽’瓯柑RAD51的相对表达量为瓯柑的3.7倍,MS1可达300倍;但同时期花蕾中,RAD51的相对表达量仅1.1倍,MS1为140.0倍。‘无籽’瓯柑RAD51基因在第Ⅰ时期和第Ⅱ时期的相对表达量极显著(P<0.01)高于瓯柑,说明‘无籽’瓯柑小孢子母细胞和四分体时期的细胞内均存在DNA受损现象;‘无籽’瓯柑MS1基因在第Ⅰ时期的相对表达量极显著(P<0.01)高于瓯柑,但第Ⅱ时期极显著(P<0.01)低于瓯柑,推测‘无籽’瓯柑败育花粉的形成与MS1基因表达紊乱引起油脂分泌、转运异常密切相关。图6表1参24
2016, 33(6): 928-934.
doi: 10.11833/j.issn.2095-0756.2016.06.002
摘要:
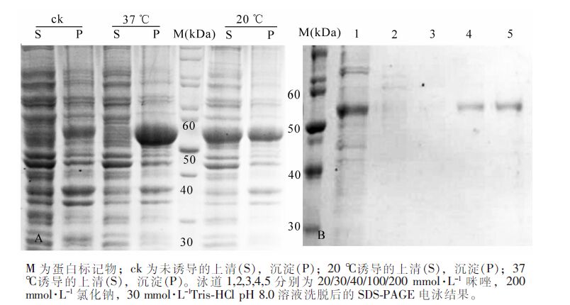
毛竹Phyllostachys edulis阿拉伯糖-5-磷酸异构酶(PeKdsD)是2-酮-3-脱氧辛糖酸(KDO)生物合成途径的第1个关键酶。采用逆转录实时聚合酶链式反应(qRT-PCR)克隆得到毛竹KdsD基因。该基因cDNA全长1 038 bp,编码346个氨基酸;对不同物种来源的KdsD氨基酸序列进行比对和系统进化树分析。结果表明:毛竹的KdsD与玉米Zea mays等植物来源的KdsD有很高的序列一致性,而与微生物来源的KdsD序列一致性较低。毛竹不同组织实时荧光定量聚合酶链式反应(qRT-PCR)结果表明:PeKdsD基因在叶中表达量远远高于其他组织。在大肠埃希菌Escherichia coli原核表达系统中获得了KdsD的可溶性高表达蛋白,将大量表达的重组蛋白经过Ni-NTA亲和层析和分子筛层析(SEC)进行纯化,发现KdsD在溶液(30 mmol·L-1三羟甲基氨基甲烷pH 8.0,200 mmol·L-1氯化钠)中以多种聚体的形式存在;酶学性质测定的结果表明:毛竹KdsD酶最适pH值为pH 8.5,最适作用温度为37℃。此结果为后期研究植物KdsD蛋白的结构与功能奠定了基础。图7参17
毛竹Phyllostachys edulis阿拉伯糖-5-磷酸异构酶(PeKdsD)是2-酮-3-脱氧辛糖酸(KDO)生物合成途径的第1个关键酶。采用逆转录实时聚合酶链式反应(qRT-PCR)克隆得到毛竹KdsD基因。该基因cDNA全长1 038 bp,编码346个氨基酸;对不同物种来源的KdsD氨基酸序列进行比对和系统进化树分析。结果表明:毛竹的KdsD与玉米Zea mays等植物来源的KdsD有很高的序列一致性,而与微生物来源的KdsD序列一致性较低。毛竹不同组织实时荧光定量聚合酶链式反应(qRT-PCR)结果表明:PeKdsD基因在叶中表达量远远高于其他组织。在大肠埃希菌Escherichia coli原核表达系统中获得了KdsD的可溶性高表达蛋白,将大量表达的重组蛋白经过Ni-NTA亲和层析和分子筛层析(SEC)进行纯化,发现KdsD在溶液(30 mmol·L-1三羟甲基氨基甲烷pH 8.0,200 mmol·L-1氯化钠)中以多种聚体的形式存在;酶学性质测定的结果表明:毛竹KdsD酶最适pH值为pH 8.5,最适作用温度为37℃。此结果为后期研究植物KdsD蛋白的结构与功能奠定了基础。图7参17
2016, 33(6): 935-943.
doi: 10.11833/j.issn.2095-0756.2016.06.003
摘要:
以花叶矢竹Pseudosasa japonica f.akebonosuji 10种不同颜色和不同发育阶段的叶片转录组数据为基础,调查了花叶矢竹中转座子的种类、数量以及选择性表达特性。结果表明:花叶矢竹转录组中转座子类型丰富、数量繁多,其中RNA转座子明显多于DNA转座子,转座子LTR/Copia类型数量最多。绿叶的5个发育阶段中,转座子主要在第5发育阶段高表达,表明这些转座子可能参与了花叶矢竹叶片成熟过程。而在白叶5个发育阶段中,转座子主要在第1发育阶段高表达;对绿叶和白叶5个相对应的发育阶段分析表明,白叶中高表达的转座子多于绿叶,表明这些转座子可能参与了花叶矢竹叶色变异过程,也可能是逆境胁迫导致转座子转座激活。图3表3参25
以花叶矢竹Pseudosasa japonica f.akebonosuji 10种不同颜色和不同发育阶段的叶片转录组数据为基础,调查了花叶矢竹中转座子的种类、数量以及选择性表达特性。结果表明:花叶矢竹转录组中转座子类型丰富、数量繁多,其中RNA转座子明显多于DNA转座子,转座子LTR/Copia类型数量最多。绿叶的5个发育阶段中,转座子主要在第5发育阶段高表达,表明这些转座子可能参与了花叶矢竹叶片成熟过程。而在白叶5个发育阶段中,转座子主要在第1发育阶段高表达;对绿叶和白叶5个相对应的发育阶段分析表明,白叶中高表达的转座子多于绿叶,表明这些转座子可能参与了花叶矢竹叶色变异过程,也可能是逆境胁迫导致转座子转座激活。图3表3参25
2016, 33(6): 944-952.
doi: 10.11833/j.issn.2095-0756.2016.06.004
摘要:
以秦岭地区幼中龄林(5,10,20年生)华北落叶松Larix principis-rupprechtii人工林地土壤为研究对象,在林木生长季节(5-10月)每月中旬采集表层(0~20 cm)土壤样品,通过测定不同物候期的土壤速效养分质量分数与土壤酶活性,研究分析两者的物候季节动态特征及相互关系,旨在发现华北落叶松人工林地土壤肥力最低的时期并为人工林的合理施肥提供基础理论指导。结果表明:3种林龄人工林(5,10,20年生)土壤速效养分(速效氮、速效磷)质量分数在整个生长季节内变化规律趋于一致,在林木生长旺盛期土壤速效氮和速效磷质量分数最低,土壤速效氮质量分数最低值分别为29.49,19.96和47.32 mg·kg-1;土壤速效磷质量分数最低值分别为2.31,2.79和1.60 mg·kg-1。3种龄林人工林(5,10,20年生)土壤酶(脲酶、转化酶、磷酸酶、过氧化氢酶)活性在整个生长季节内变化规律基本相同,由萌芽展叶初期到落叶末期土壤脲酶活性和转化酶活性呈逐渐上升趋势,土壤脲酶活性最低值分别为0.33,0.25和0.15 mg·g-1;土壤转化酶活性最低值分别为40.82,41.91和22.25 mg·g-1。从生长旺盛初期到落叶期土壤磷酸酶活性呈缓慢下降趋势,土壤磷酸酶活性最低值分别为0.16,0.13和0.22 mg·g-1;在生长旺盛初期土壤过氧化氢酶活性最低,土壤过氧化氢酶活性最低值分别为1.39,1.44和2.68 mL·g-1。与幼龄林(5年生,10年生)相比,中龄林(20年生)土壤速效磷质量分数显著下降(P<0.05)。土壤速效养分与土壤酶相关性密切,说明土壤酶可以较好地反映土壤肥力状况。因此,土壤肥力由萌芽展叶期到生长旺盛期出现下降而到落叶期有上升趋势,且由幼龄林到中龄林土壤肥力有下降趋势,应在生长旺盛期对中龄林林地进行适当施肥。图2表3参38
以秦岭地区幼中龄林(5,10,20年生)华北落叶松Larix principis-rupprechtii人工林地土壤为研究对象,在林木生长季节(5-10月)每月中旬采集表层(0~20 cm)土壤样品,通过测定不同物候期的土壤速效养分质量分数与土壤酶活性,研究分析两者的物候季节动态特征及相互关系,旨在发现华北落叶松人工林地土壤肥力最低的时期并为人工林的合理施肥提供基础理论指导。结果表明:3种林龄人工林(5,10,20年生)土壤速效养分(速效氮、速效磷)质量分数在整个生长季节内变化规律趋于一致,在林木生长旺盛期土壤速效氮和速效磷质量分数最低,土壤速效氮质量分数最低值分别为29.49,19.96和47.32 mg·kg-1;土壤速效磷质量分数最低值分别为2.31,2.79和1.60 mg·kg-1。3种龄林人工林(5,10,20年生)土壤酶(脲酶、转化酶、磷酸酶、过氧化氢酶)活性在整个生长季节内变化规律基本相同,由萌芽展叶初期到落叶末期土壤脲酶活性和转化酶活性呈逐渐上升趋势,土壤脲酶活性最低值分别为0.33,0.25和0.15 mg·g-1;土壤转化酶活性最低值分别为40.82,41.91和22.25 mg·g-1。从生长旺盛初期到落叶期土壤磷酸酶活性呈缓慢下降趋势,土壤磷酸酶活性最低值分别为0.16,0.13和0.22 mg·g-1;在生长旺盛初期土壤过氧化氢酶活性最低,土壤过氧化氢酶活性最低值分别为1.39,1.44和2.68 mL·g-1。与幼龄林(5年生,10年生)相比,中龄林(20年生)土壤速效磷质量分数显著下降(P<0.05)。土壤速效养分与土壤酶相关性密切,说明土壤酶可以较好地反映土壤肥力状况。因此,土壤肥力由萌芽展叶期到生长旺盛期出现下降而到落叶期有上升趋势,且由幼龄林到中龄林土壤肥力有下降趋势,应在生长旺盛期对中龄林林地进行适当施肥。图2表3参38
2016, 33(6): 953-960.
doi: 10.11833/j.issn.2095-0756.2016.06.005
摘要:
为探讨山核桃Carya cathayensis林地土壤基本肥力特征及土壤肥料管理对策,于2013年3-4月,采用全球定位系统(GPS)野外定位并采集浙江省临安市山核桃主产区7个乡镇共189个土壤样品,对临安市山核桃主产区土壤肥力状况进行分析和比较。结果表明:研究区土壤pH值变幅为pH 4.2~7.5,平均值为pH 5.2,小于pH 5.5的区域占75%;土壤有机质平均为31.6 g·kg-1,普遍较高,但也有12%的林地土壤有机质低于20.0 g·kg-1;大多数林地土壤有效氮较高,超过80.0 mg·kg-1的占91%,处于高水平(>200.0 mg·kg-1)的占15%;研究区山核桃林地土壤有效磷平均为14.0 mg·kg-1,但变幅大,分别有63%和40%的林地土壤有效磷低于10.0 mg·kg-1和5.0 mg·kg-1,土壤有效磷有待提高;土壤速效钾平均为85.9 mg·kg-1,51%的林地土壤速效钾质量分数不足80.0 mg·kg-1。各地需要根据实际情况,调整施肥数量和结构及开展土壤酸性改良,因地制宜地制定区域施肥规划。表7参23
为探讨山核桃Carya cathayensis林地土壤基本肥力特征及土壤肥料管理对策,于2013年3-4月,采用全球定位系统(GPS)野外定位并采集浙江省临安市山核桃主产区7个乡镇共189个土壤样品,对临安市山核桃主产区土壤肥力状况进行分析和比较。结果表明:研究区土壤pH值变幅为pH 4.2~7.5,平均值为pH 5.2,小于pH 5.5的区域占75%;土壤有机质平均为31.6 g·kg-1,普遍较高,但也有12%的林地土壤有机质低于20.0 g·kg-1;大多数林地土壤有效氮较高,超过80.0 mg·kg-1的占91%,处于高水平(>200.0 mg·kg-1)的占15%;研究区山核桃林地土壤有效磷平均为14.0 mg·kg-1,但变幅大,分别有63%和40%的林地土壤有效磷低于10.0 mg·kg-1和5.0 mg·kg-1,土壤有效磷有待提高;土壤速效钾平均为85.9 mg·kg-1,51%的林地土壤速效钾质量分数不足80.0 mg·kg-1。各地需要根据实际情况,调整施肥数量和结构及开展土壤酸性改良,因地制宜地制定区域施肥规划。表7参23
2016, 33(6): 961-968.
doi: 10.11833/j.issn.2095-0756.2016.06.006
摘要:
系统掌握浙南海涂围垦区土壤品质现状和空间分布特征,为绿地系统规划、土壤改良措施和绿化工程实施提供参考依据。通过取样调查,获得土壤基本性状,再采用模糊数学综合评价土壤品质与分级,并运用全球定位系统(GPS),ARCGIS分析软件和Surfer软件获得土壤品质等值线分布图。结果表明:①研究区域土壤容重偏大,为1.32 g·cm-3,且含盐量高,为7.7 g·kg-1,碱性强,pH 8.25,有机质质量分数偏少,为17.94 g·kg-1,全氮和有效磷质量分数严重偏低,分别为0.69 g·kg-1和4.82 mg·kg-1,而速效钾质量分数丰富,为0.62 g·kg-1。②土壤含盐量是浙南滨海围垦区土壤品质的主要限制因子,容重和pH值也是重要评价指标。③研究区域土壤品质总体较差,并且表层土壤品质(综合评价值为0.482)略好于下层土壤(综合评价值为0.435)。土壤品质分级与等值线分布图可以更好地指导土壤改良和植被构建,需要降低土壤含盐量、pH值和容重,选取优良耐盐碱植物进行绿化种植。图1表5参33
系统掌握浙南海涂围垦区土壤品质现状和空间分布特征,为绿地系统规划、土壤改良措施和绿化工程实施提供参考依据。通过取样调查,获得土壤基本性状,再采用模糊数学综合评价土壤品质与分级,并运用全球定位系统(GPS),ARCGIS分析软件和Surfer软件获得土壤品质等值线分布图。结果表明:①研究区域土壤容重偏大,为1.32 g·cm-3,且含盐量高,为7.7 g·kg-1,碱性强,pH 8.25,有机质质量分数偏少,为17.94 g·kg-1,全氮和有效磷质量分数严重偏低,分别为0.69 g·kg-1和4.82 mg·kg-1,而速效钾质量分数丰富,为0.62 g·kg-1。②土壤含盐量是浙南滨海围垦区土壤品质的主要限制因子,容重和pH值也是重要评价指标。③研究区域土壤品质总体较差,并且表层土壤品质(综合评价值为0.482)略好于下层土壤(综合评价值为0.435)。土壤品质分级与等值线分布图可以更好地指导土壤改良和植被构建,需要降低土壤含盐量、pH值和容重,选取优良耐盐碱植物进行绿化种植。图1表5参33
2016, 33(6): 969-975.
doi: 10.11833/j.issn.2095-0756.2016.06.007
摘要:
采用单因素试验和正交试验方法,研究了不同施肥处理对银杏Ginkgo biloba叶片中的氮、磷和钾质量分数以及新梢叶片光合作用的影响,为银杏用材林的施肥提供理论依据。结果表明:银杏对氮和钾的吸收有协同作用,在氮和钾肥单施时,叶片中氮和钾元素质量分数变化趋势相同。单施磷肥对银杏吸收土壤中的氮和钾有抑制作用,配施时土壤中磷元素高,对氮影响较大,对钾影响较小。在单施处理中,净光合速率均是在氮、磷和钾最大施肥量时达到最大值,不同施肥处理间差异显著(P<0.05),蒸腾速率、气孔导度和胞间二氧化碳摩尔分数变化无规律。配施处理中,蒸腾速率、气孔导度和胞间二氧化碳摩尔分数都是在处理2(氮肥100 g·株-1,磷肥400 g·株-1,钾肥40 g·株-1)达到最大值,净光合速率是在处理5(氮肥200 g·株-1,磷肥400 g·株-1,钾肥90 g·株-1)达到最大值。氮、磷、钾同施能够使土壤元素含量更均衡,促进银杏对营养元素的吸收,提高叶片光合作用效能。图4表6参18
采用单因素试验和正交试验方法,研究了不同施肥处理对银杏Ginkgo biloba叶片中的氮、磷和钾质量分数以及新梢叶片光合作用的影响,为银杏用材林的施肥提供理论依据。结果表明:银杏对氮和钾的吸收有协同作用,在氮和钾肥单施时,叶片中氮和钾元素质量分数变化趋势相同。单施磷肥对银杏吸收土壤中的氮和钾有抑制作用,配施时土壤中磷元素高,对氮影响较大,对钾影响较小。在单施处理中,净光合速率均是在氮、磷和钾最大施肥量时达到最大值,不同施肥处理间差异显著(P<0.05),蒸腾速率、气孔导度和胞间二氧化碳摩尔分数变化无规律。配施处理中,蒸腾速率、气孔导度和胞间二氧化碳摩尔分数都是在处理2(氮肥100 g·株-1,磷肥400 g·株-1,钾肥40 g·株-1)达到最大值,净光合速率是在处理5(氮肥200 g·株-1,磷肥400 g·株-1,钾肥90 g·株-1)达到最大值。氮、磷、钾同施能够使土壤元素含量更均衡,促进银杏对营养元素的吸收,提高叶片光合作用效能。图4表6参18
2016, 33(6): 976-983.
doi: 10.11833/j.issn.2095-0756.2016.06.008
摘要:
为探明长白落叶松Larix olgensis移植苗木培育所需的缓释氮肥及磷肥最佳用量,以长白落叶松移植苗为研究对象,通过设置4个缓释氮肥水平(0,6,12,18 g·m-2氮)与3个磷肥水平(0,21,42 g·m-2五氧化二磷)共计12个施肥处理组合,研究长白落叶松移植苗木生长状况和养分积累对不同氮磷施肥量的响应规律。结果表明:氮磷仅对叶片磷含量存在显著交互作用(P=0.024),施肥对苗木生长和养分状况的影响是通过其主效应引起的。缓释氮肥对苗高、地径、各器官生物量及茎、叶、整株的氮、磷含量影响显著(P=0.001~0.026),其中6 g·m-2和12 g·m-2(氮)对苗木生长和养分积累促进作用较大,但2种施氮量水平间差异不显著;磷肥对苗高、根生物量、叶氮、整株磷含量及叶磷质量分数影响显著(P=0.009~0.040),21 g·m-2和42 g·m-2五氧化二磷均显著高于对照,但2种磷肥施用水平间差异不显著。与对照相比,6 g·m-2施氮量下苗高、地径、整株生物量和氮含量分别增加22.3%,12.9%,39.9%和48.3%;21 g·m-2五氧化二磷施用量下苗高、根生物量、叶氮、整株磷含量分别增加13.3%,19.3%,17.8%,25.9%。综合考虑施肥效果,缓释氮肥对长白落叶松苗木影响较磷肥大,长白落叶松移植苗最佳施肥量为缓释氮肥(氮)6 g·m-2,磷肥(五氧化二磷)21 g·m-2。图5表2参26
为探明长白落叶松Larix olgensis移植苗木培育所需的缓释氮肥及磷肥最佳用量,以长白落叶松移植苗为研究对象,通过设置4个缓释氮肥水平(0,6,12,18 g·m-2氮)与3个磷肥水平(0,21,42 g·m-2五氧化二磷)共计12个施肥处理组合,研究长白落叶松移植苗木生长状况和养分积累对不同氮磷施肥量的响应规律。结果表明:氮磷仅对叶片磷含量存在显著交互作用(P=0.024),施肥对苗木生长和养分状况的影响是通过其主效应引起的。缓释氮肥对苗高、地径、各器官生物量及茎、叶、整株的氮、磷含量影响显著(P=0.001~0.026),其中6 g·m-2和12 g·m-2(氮)对苗木生长和养分积累促进作用较大,但2种施氮量水平间差异不显著;磷肥对苗高、根生物量、叶氮、整株磷含量及叶磷质量分数影响显著(P=0.009~0.040),21 g·m-2和42 g·m-2五氧化二磷均显著高于对照,但2种磷肥施用水平间差异不显著。与对照相比,6 g·m-2施氮量下苗高、地径、整株生物量和氮含量分别增加22.3%,12.9%,39.9%和48.3%;21 g·m-2五氧化二磷施用量下苗高、根生物量、叶氮、整株磷含量分别增加13.3%,19.3%,17.8%,25.9%。综合考虑施肥效果,缓释氮肥对长白落叶松苗木影响较磷肥大,长白落叶松移植苗最佳施肥量为缓释氮肥(氮)6 g·m-2,磷肥(五氧化二磷)21 g·m-2。图5表2参26
2016, 33(6): 984-990.
doi: 10.11833/j.issn.2095-0756.2016.06.009
摘要:
为评价贵州省人工林生境养分供应状况及养分获取效率,以贵州省喀斯特地区4种典型人工林:华山松Pinus armandii林,杉木Cunninghamia lanceolata林,马尾松Pinus massoniana林和柏木Cupressus funebris林为研究对象,分析了以上4种人工林叶片生态化学计量学特征。结果显示:华山松、杉木、马尾松和柏木等4种典型人工林叶片碳(C)质量分数较高,氮(N)和磷(P)质量分数较低;各林型之间叶片碳质量分数变异较小,氮、磷质量分数以及碳氮比(C:N),氮磷比(N:P),碳磷比(C:P)变异较大。4种典型人工林各林型之间叶片生态计量学指标大部分差异不显著(P>0.05)。4种典型人工林叶片碳氮比(C:N)和碳磷比(C:P)较大,表明它们从生境中获取养分的效率较高,而氮磷比(N:P)则揭示了杉木林和华山松林的生长受氮限制、柏木林受磷限制,马尾松林受氮和磷的共同限制。表2参25
为评价贵州省人工林生境养分供应状况及养分获取效率,以贵州省喀斯特地区4种典型人工林:华山松Pinus armandii林,杉木Cunninghamia lanceolata林,马尾松Pinus massoniana林和柏木Cupressus funebris林为研究对象,分析了以上4种人工林叶片生态化学计量学特征。结果显示:华山松、杉木、马尾松和柏木等4种典型人工林叶片碳(C)质量分数较高,氮(N)和磷(P)质量分数较低;各林型之间叶片碳质量分数变异较小,氮、磷质量分数以及碳氮比(C:N),氮磷比(N:P),碳磷比(C:P)变异较大。4种典型人工林各林型之间叶片生态计量学指标大部分差异不显著(P>0.05)。4种典型人工林叶片碳氮比(C:N)和碳磷比(C:P)较大,表明它们从生境中获取养分的效率较高,而氮磷比(N:P)则揭示了杉木林和华山松林的生长受氮限制、柏木林受磷限制,马尾松林受氮和磷的共同限制。表2参25
2016, 33(6): 991-999.
doi: 10.11833/j.issn.2095-0756.2016.06.010
摘要:
凋落物是森林生产力的重要组成部分。为了探讨凋落物生产特点及其与林分结构的关系,为亚热带常绿阔叶林可持续经营提供依据,在安徽省祁门县查湾自然保护区亚热带常绿阔叶林2种不同林分分别设立3个固定样地,共6个,进行林分结构调查并对凋落物生产量进行为期1 a(2014年6月至2015年5月)的监测。结果表明:该地区凋落物生产量为5.95~9.70 t·hm-2·a-1,除落果外,不同林分质量差异不显著(P>0.05)。林分因子与凋落物量的相关性分析结果显示:凋落物总量、落叶与林分胸高断面积呈显著正相关(P<0.05)。落果量与优势树种的平均胸径及其胸高断面积呈现显著正相关(P<0.05),与多样性指数、均匀度指数、林分密度呈现极显著负相关(P<0.01)。木质凋落物与林分结构参数均无显著相关性(P>0.05)。节律上,样地P1和样地P2凋落物总量与落叶表现为双峰型;样地P3凋落物总量与落叶表现不规则型;样地P4,样地P5和样地P6凋落物总量与落叶表现单峰型。不同林分落叶养分比较发现:氮、钙差异显著(P<0.05),磷差异极显著(P<0.01)。养分年归还量分别为碳2.7~4.7 t·hm-2·a-1,氮75.75~105.58 kg·hm-2·a-1,磷2.07~3.67 kg·hm-2·a-1,钾16.54~41.80 kg·hm-2·a-1,钙74.61~109.91 kg·hm-2·a-1,镁17.95~29.48 kg·hm-2·a-1。落叶、落果、碎屑物占各元素归还量的71.17%~95.75%。图2表6参31
凋落物是森林生产力的重要组成部分。为了探讨凋落物生产特点及其与林分结构的关系,为亚热带常绿阔叶林可持续经营提供依据,在安徽省祁门县查湾自然保护区亚热带常绿阔叶林2种不同林分分别设立3个固定样地,共6个,进行林分结构调查并对凋落物生产量进行为期1 a(2014年6月至2015年5月)的监测。结果表明:该地区凋落物生产量为5.95~9.70 t·hm-2·a-1,除落果外,不同林分质量差异不显著(P>0.05)。林分因子与凋落物量的相关性分析结果显示:凋落物总量、落叶与林分胸高断面积呈显著正相关(P<0.05)。落果量与优势树种的平均胸径及其胸高断面积呈现显著正相关(P<0.05),与多样性指数、均匀度指数、林分密度呈现极显著负相关(P<0.01)。木质凋落物与林分结构参数均无显著相关性(P>0.05)。节律上,样地P1和样地P2凋落物总量与落叶表现为双峰型;样地P3凋落物总量与落叶表现不规则型;样地P4,样地P5和样地P6凋落物总量与落叶表现单峰型。不同林分落叶养分比较发现:氮、钙差异显著(P<0.05),磷差异极显著(P<0.01)。养分年归还量分别为碳2.7~4.7 t·hm-2·a-1,氮75.75~105.58 kg·hm-2·a-1,磷2.07~3.67 kg·hm-2·a-1,钾16.54~41.80 kg·hm-2·a-1,钙74.61~109.91 kg·hm-2·a-1,镁17.95~29.48 kg·hm-2·a-1。落叶、落果、碎屑物占各元素归还量的71.17%~95.75%。图2表6参31
2016, 33(6): 1000-1008.
doi: 10.11833/j.issn.2095-0756.2016.06.011
摘要:
通过机械取样和典型抽样相结合的调查方法对浙中城市森林主要群落进行了分析及优化研究。以浙中淳安、富阳、诸暨、余姚、舟山等5个城市为研究区,对城市森林树种应用状况及群落类型作了系统调研和梳理,在群落评价选优的基础上,分地区分类型获得了城市森林树种的重要值排序结果。结果表明:①本次调查共获得植物250种,分属于85科170属;种类不算多,但科属类型丰富,说明浙中城市森林绿化对物种的利用还不够。②4类型城市森林中植物种类数排序为城周背景林 > 城市公园片林 > 水岸林 > 道路林,5个城市植物种类数排序为淳安 > 舟山 > 余姚 > 富阳 > 诸暨。③从全域来看,城周背景林与城市人工林组成树种有明显差别;城周背景林各地差异较大,与各地气候、地形等立地条件耦合较好;人工林的地方差异相对较小,同质化倾向较明显。④对比城市森林树种重要值和频数排序直方图,发现重要值对于衡量树种应用状况及其在群落中的地位更为全面,但频数研究简单易行,可作为粗略分析手段。⑤根据重要值指标计算结果,归纳群落量化组合模式并提炼出4种群落类型。图1表4参33
通过机械取样和典型抽样相结合的调查方法对浙中城市森林主要群落进行了分析及优化研究。以浙中淳安、富阳、诸暨、余姚、舟山等5个城市为研究区,对城市森林树种应用状况及群落类型作了系统调研和梳理,在群落评价选优的基础上,分地区分类型获得了城市森林树种的重要值排序结果。结果表明:①本次调查共获得植物250种,分属于85科170属;种类不算多,但科属类型丰富,说明浙中城市森林绿化对物种的利用还不够。②4类型城市森林中植物种类数排序为城周背景林 > 城市公园片林 > 水岸林 > 道路林,5个城市植物种类数排序为淳安 > 舟山 > 余姚 > 富阳 > 诸暨。③从全域来看,城周背景林与城市人工林组成树种有明显差别;城周背景林各地差异较大,与各地气候、地形等立地条件耦合较好;人工林的地方差异相对较小,同质化倾向较明显。④对比城市森林树种重要值和频数排序直方图,发现重要值对于衡量树种应用状况及其在群落中的地位更为全面,但频数研究简单易行,可作为粗略分析手段。⑤根据重要值指标计算结果,归纳群落量化组合模式并提炼出4种群落类型。图1表4参33
2016, 33(6): 1009-1016.
doi: 10.11833/j.issn.2095-0756.2016.06.012
摘要:
为了阐明不同桉树无性系对铝的抗逆性生理响应机制,采用室内水培法,以广西区2个桉树无性系耐铝型巨尾桉9号Eucalyptus grandis×E.urophylla No.9(记为G9)和铝敏感型尾叶桉4号E.urophylla No.4(记为G4)为研究对象,在4.4 mmol·L-1铝离子浓度下处理24 h(以pH 4.0,0.5 mmol·L-1氯化钙为对照),从根系及叶片内细胞膜透性(CMP),丙二醛(MDA)质量摩尔浓度及过氧化氢酶(CAT),多酚氧化酶(PPO),超氧化物歧化酶(SOD),抗坏血酸过氧化物酶(APX)和谷胱甘肽还原酶(GR)等抗氧化酶活性方面探讨了铝胁迫下供试苗木的耐铝机制。采用SPSS 21.0软件分别对根和叶中G9和G4的各测定指标进行单因素方差分析和Duncan多重比较。根细胞膜透性、丙二醛质量摩尔浓度均显著(P<0.05)高于叶,铝对2个桉树无性系苗木的毒害主要表现在根部。在4.4 mmol·L-1铝离子处理下,G4根相对电导率与丙二醛质量摩尔浓度最高,分别为48.8%,11.5 μmol·g-1,而G9根内过氧化氢酶、抗坏血酸过氧化物酶、谷胱甘肽还原酶活性极显著(P<0.01)大于G4,且G9根过氧化氢酶活性比相应对照增加145.0%,G4根过氧化氢酶活性比相应对照仅增加43.0%,过氧化氢酶在G9根中对铝毒害的缓解起到了更为重要的作用。G9清除活性氧能力较G4强,表明耐铝型桉树对铝毒害具有较好的适应能力。图7参28
为了阐明不同桉树无性系对铝的抗逆性生理响应机制,采用室内水培法,以广西区2个桉树无性系耐铝型巨尾桉9号Eucalyptus grandis×E.urophylla No.9(记为G9)和铝敏感型尾叶桉4号E.urophylla No.4(记为G4)为研究对象,在4.4 mmol·L-1铝离子浓度下处理24 h(以pH 4.0,0.5 mmol·L-1氯化钙为对照),从根系及叶片内细胞膜透性(CMP),丙二醛(MDA)质量摩尔浓度及过氧化氢酶(CAT),多酚氧化酶(PPO),超氧化物歧化酶(SOD),抗坏血酸过氧化物酶(APX)和谷胱甘肽还原酶(GR)等抗氧化酶活性方面探讨了铝胁迫下供试苗木的耐铝机制。采用SPSS 21.0软件分别对根和叶中G9和G4的各测定指标进行单因素方差分析和Duncan多重比较。根细胞膜透性、丙二醛质量摩尔浓度均显著(P<0.05)高于叶,铝对2个桉树无性系苗木的毒害主要表现在根部。在4.4 mmol·L-1铝离子处理下,G4根相对电导率与丙二醛质量摩尔浓度最高,分别为48.8%,11.5 μmol·g-1,而G9根内过氧化氢酶、抗坏血酸过氧化物酶、谷胱甘肽还原酶活性极显著(P<0.01)大于G4,且G9根过氧化氢酶活性比相应对照增加145.0%,G4根过氧化氢酶活性比相应对照仅增加43.0%,过氧化氢酶在G9根中对铝毒害的缓解起到了更为重要的作用。G9清除活性氧能力较G4强,表明耐铝型桉树对铝毒害具有较好的适应能力。图7参28
2016, 33(6): 1017-1024.
doi: 10.11833/j.issn.2095-0756.2016.06.013
摘要:
以2种常春藤Hedera盆栽苗为试验材料,在密封的玻璃容器中,设置甲醛、弱光及甲醛+弱光3个胁迫处理和1个对照,处理4个月后,分别采样测定叶的解剖结构及根、叶的生理生化指标,探讨甲醛和弱光环境胁迫处理对2种常春藤解剖结构和生理特性及适应性的影响。结果表明:洋常春藤Hedera helix的栅栏组织厚度、气孔长度和气孔宽度在甲醛和弱光胁迫下均显著(P<0.05)减小,而甲醛胁迫使叶厚和海绵组织厚度增大,弱光下气孔密度增大;中华常春藤Hedera nepalensis的叶厚、栅栏组织厚度、海绵组织厚度、气孔长度、气孔宽度和气孔密度在各胁迫下均减小。各胁迫使2种常春藤的根系活力均显著(P<0.05)下降;在甲醛和弱光双重胁迫下,洋常春藤的甲醛质量分数高于中华常春藤;中华常春藤的叶绿素质量分数在甲醛胁迫下下降,而弱光下则上升,洋常春藤与之相反;双重胁迫使2种常春藤的叶绿素质量分数显著(P<0.05)下降,类胡萝卜素质量分数显著(P<0.05)上升。弱光下2种常春藤根系和叶片的超氧化物歧化酶(SOD)活性下降,而甲醛和双重胁迫使2种常春藤根系和叶片的超氧化物歧化酶活性及根系的过氧化物酶(POD)活性显著(P<0.05)下降。此外,各胁迫还使2种常春藤的过氧化氢和丙二醛质量摩尔浓度、相对电导率及氧自由基产生速率上升。可见,中华常春藤对弱光的适应性强于洋常春藤,而洋常春藤对甲醛的抗性强于中华常春藤。图5表1参21
以2种常春藤Hedera盆栽苗为试验材料,在密封的玻璃容器中,设置甲醛、弱光及甲醛+弱光3个胁迫处理和1个对照,处理4个月后,分别采样测定叶的解剖结构及根、叶的生理生化指标,探讨甲醛和弱光环境胁迫处理对2种常春藤解剖结构和生理特性及适应性的影响。结果表明:洋常春藤Hedera helix的栅栏组织厚度、气孔长度和气孔宽度在甲醛和弱光胁迫下均显著(P<0.05)减小,而甲醛胁迫使叶厚和海绵组织厚度增大,弱光下气孔密度增大;中华常春藤Hedera nepalensis的叶厚、栅栏组织厚度、海绵组织厚度、气孔长度、气孔宽度和气孔密度在各胁迫下均减小。各胁迫使2种常春藤的根系活力均显著(P<0.05)下降;在甲醛和弱光双重胁迫下,洋常春藤的甲醛质量分数高于中华常春藤;中华常春藤的叶绿素质量分数在甲醛胁迫下下降,而弱光下则上升,洋常春藤与之相反;双重胁迫使2种常春藤的叶绿素质量分数显著(P<0.05)下降,类胡萝卜素质量分数显著(P<0.05)上升。弱光下2种常春藤根系和叶片的超氧化物歧化酶(SOD)活性下降,而甲醛和双重胁迫使2种常春藤根系和叶片的超氧化物歧化酶活性及根系的过氧化物酶(POD)活性显著(P<0.05)下降。此外,各胁迫还使2种常春藤的过氧化氢和丙二醛质量摩尔浓度、相对电导率及氧自由基产生速率上升。可见,中华常春藤对弱光的适应性强于洋常春藤,而洋常春藤对甲醛的抗性强于中华常春藤。图5表1参21
2016, 33(6): 1025-1032.
doi: 10.11833/j.issn.2095-0756.2016.06.014
摘要:
为了探讨枸杞Lycium果实糖积累差异及其品质形成的生理机制,以4种枸杞为试材,在枸杞果实发育期间,测定果实糖质量分数与蔗糖代谢酶活性变化。结果表明:宁夏枸杞Lycium barbarum果实中检测到10种糖,云南枸杞L.yunnanense和中国枸杞L.chinense果实中检测到7种糖,北方枸杞L.chinense var.potaninii果实中检测到6种糖;成熟期枸杞果实以果糖、葡萄糖和蔗糖为主。在果实发育过程中4种枸杞果糖和葡萄糖质量分数整体呈现出逐渐升高趋势,果实发育的后期升高幅度高于初期;而蔗糖质量分数呈现出2种变化趋势,不同发育时期种间有差异。4种枸杞蔗糖代谢酶活性在枸杞果实发育过程中差异较大,其中,酸性转化酶(AI)在果实发育的初期活性较低,种间差别小,但在果实发育的后期活性高,种间差别大。在整个果实发育过程中供试种蔗糖合成酶(SS)活性始终高于磷酸蔗糖合成酶(SPS);云南枸杞维持着较低果糖和葡萄糖质量分数。3种枸杞果实中果糖质量分数与AI活性显著正相关(P<0.05),转化酶在枸杞果实糖积累过程中发挥着重要作用。图3表2参23
为了探讨枸杞Lycium果实糖积累差异及其品质形成的生理机制,以4种枸杞为试材,在枸杞果实发育期间,测定果实糖质量分数与蔗糖代谢酶活性变化。结果表明:宁夏枸杞Lycium barbarum果实中检测到10种糖,云南枸杞L.yunnanense和中国枸杞L.chinense果实中检测到7种糖,北方枸杞L.chinense var.potaninii果实中检测到6种糖;成熟期枸杞果实以果糖、葡萄糖和蔗糖为主。在果实发育过程中4种枸杞果糖和葡萄糖质量分数整体呈现出逐渐升高趋势,果实发育的后期升高幅度高于初期;而蔗糖质量分数呈现出2种变化趋势,不同发育时期种间有差异。4种枸杞蔗糖代谢酶活性在枸杞果实发育过程中差异较大,其中,酸性转化酶(AI)在果实发育的初期活性较低,种间差别小,但在果实发育的后期活性高,种间差别大。在整个果实发育过程中供试种蔗糖合成酶(SS)活性始终高于磷酸蔗糖合成酶(SPS);云南枸杞维持着较低果糖和葡萄糖质量分数。3种枸杞果实中果糖质量分数与AI活性显著正相关(P<0.05),转化酶在枸杞果实糖积累过程中发挥着重要作用。图3表2参23
2016, 33(6): 1033-1039.
doi: 10.11833/j.issn.2095-0756.2016.06.015
摘要:
铁线莲属Clematis为观赏价值极高的藤本植物。铁线莲品种数量繁多,形态变异丰富,遗传背景也相对复杂,品种间存在杂交不亲和性的障碍,对杂交亲本的染色体核型分析等细胞学特征的研究显得十分重要。采用酶解法-去壁低渗火焰干燥法与Giemsa-C分带染色技术,以13个铁线莲品种自然生长的幼嫩根尖为试材,进行染色体参数和核型分析。结果表明:13个品种的染色体均为2n=2x=16,均为二倍体;染色体核型分为2种类型:2n=2x=16=10m+4st+2t,2n=2x=16=10m+6st;随体均在第6条,第7条或第8条染色体上,且位置均在短臂上;13个品种的核型类型均为“2A”,具有很大的相似性,说明杂交不亲和现象由其他因素导致。图3表3参18
铁线莲属Clematis为观赏价值极高的藤本植物。铁线莲品种数量繁多,形态变异丰富,遗传背景也相对复杂,品种间存在杂交不亲和性的障碍,对杂交亲本的染色体核型分析等细胞学特征的研究显得十分重要。采用酶解法-去壁低渗火焰干燥法与Giemsa-C分带染色技术,以13个铁线莲品种自然生长的幼嫩根尖为试材,进行染色体参数和核型分析。结果表明:13个品种的染色体均为2n=2x=16,均为二倍体;染色体核型分为2种类型:2n=2x=16=10m+4st+2t,2n=2x=16=10m+6st;随体均在第6条,第7条或第8条染色体上,且位置均在短臂上;13个品种的核型类型均为“2A”,具有很大的相似性,说明杂交不亲和现象由其他因素导致。图3表3参18
2016, 33(6): 1040-1044.
doi: 10.11833/j.issn.2095-0756.2016.06.016
摘要:
竹丛枝病是普遍发生并导致竹林退化的最具破坏性的病害之一。研究该病害的病原对于该病的防治有重大的意义。异香柱菌属Heteroepichloë箬竹异香柱菌Heteroepichloë sasae是引起竹子丛枝病的病原之一。利用形态学结合系统发育分析的方法,对采自浙江桐乡的红哺鸡竹Phyllostachys iridescens丛枝病病原进行了分离鉴定。结果表明:根据该分离物的形态特征、平板纯培养物的培养特征以及基于内源转录间隔区-核糖体DNA(ITS-rDNA)序列的系统发育分析,最终确定为箬竹异香柱菌。该分离物与红哺鸡竹丛枝病的关系还需进一步研究。图5参14
竹丛枝病是普遍发生并导致竹林退化的最具破坏性的病害之一。研究该病害的病原对于该病的防治有重大的意义。异香柱菌属Heteroepichloë箬竹异香柱菌Heteroepichloë sasae是引起竹子丛枝病的病原之一。利用形态学结合系统发育分析的方法,对采自浙江桐乡的红哺鸡竹Phyllostachys iridescens丛枝病病原进行了分离鉴定。结果表明:根据该分离物的形态特征、平板纯培养物的培养特征以及基于内源转录间隔区-核糖体DNA(ITS-rDNA)序列的系统发育分析,最终确定为箬竹异香柱菌。该分离物与红哺鸡竹丛枝病的关系还需进一步研究。图5参14
2016, 33(6): 1045-1051.
doi: 10.11833/j.issn.2095-0756.2016.06.017
摘要:
为研究棘托竹荪Dictyophora echinovolvata乙醇提取物对食品腐败菌和植物病原菌的抑菌作用,以不同体积分数乙醇溶液为提取剂,对棘托竹荪子实体进行浸提,通过单因素和正交试验测定了乙醇体积分数、料液比、浸提时间和浸提温度等4个因素对棘托竹荪提取物抑菌效果的影响,获得的最佳提取工艺为乙醇体积分数90%,料液比50.0 g·L-1,浸提时间2.0 h,浸提温度75℃。用牛津杯法和菌丝生长速率法分别测定了棘托竹荪乙醇提取液对食品腐败菌与植物病原菌的抑菌作用。结果表明:棘托竹荪乙醇提取液对食品腐败细菌和植物病原真菌均具有抑制作用,但对啤酒酵母不表现抑制作用。在供试的4种食品腐败细菌中,抑菌效果从高到低依次是金黄色葡萄球菌Staphylococcus aureus,枯草芽孢杆菌Bacillus subtilis,蜡状芽孢杆菌Bacillus cereus,大肠埃希菌Escherichia coli,抑菌圈直径分别为24.08,23.12,23.02和22.16 mm,可见棘托竹荪乙醇提取液对革兰氏阳性细菌的抑菌效果显著大于革兰氏阴性细菌。在供试的5种植物病原真菌中,抑菌效果从高到低依次为玉米大斑病菌Exserohilum turcicum,油菜菌核病菌Sclerotinia sclerotiorum,番茄灰霉病菌Botrytis cinerea,小麦赤霉病菌Fusarium graminearum,苹果腐烂病菌Valsa mali,抑菌率分别为75.01%,57.67%,49.65%,21.34%和9.26%,且五者间均存在显著性差异(P<0.05),可见棘托竹荪乙醇提取液对真菌的抑菌作用因菌种而异。图4表4参16
为研究棘托竹荪Dictyophora echinovolvata乙醇提取物对食品腐败菌和植物病原菌的抑菌作用,以不同体积分数乙醇溶液为提取剂,对棘托竹荪子实体进行浸提,通过单因素和正交试验测定了乙醇体积分数、料液比、浸提时间和浸提温度等4个因素对棘托竹荪提取物抑菌效果的影响,获得的最佳提取工艺为乙醇体积分数90%,料液比50.0 g·L-1,浸提时间2.0 h,浸提温度75℃。用牛津杯法和菌丝生长速率法分别测定了棘托竹荪乙醇提取液对食品腐败菌与植物病原菌的抑菌作用。结果表明:棘托竹荪乙醇提取液对食品腐败细菌和植物病原真菌均具有抑制作用,但对啤酒酵母不表现抑制作用。在供试的4种食品腐败细菌中,抑菌效果从高到低依次是金黄色葡萄球菌Staphylococcus aureus,枯草芽孢杆菌Bacillus subtilis,蜡状芽孢杆菌Bacillus cereus,大肠埃希菌Escherichia coli,抑菌圈直径分别为24.08,23.12,23.02和22.16 mm,可见棘托竹荪乙醇提取液对革兰氏阳性细菌的抑菌效果显著大于革兰氏阴性细菌。在供试的5种植物病原真菌中,抑菌效果从高到低依次为玉米大斑病菌Exserohilum turcicum,油菜菌核病菌Sclerotinia sclerotiorum,番茄灰霉病菌Botrytis cinerea,小麦赤霉病菌Fusarium graminearum,苹果腐烂病菌Valsa mali,抑菌率分别为75.01%,57.67%,49.65%,21.34%和9.26%,且五者间均存在显著性差异(P<0.05),可见棘托竹荪乙醇提取液对真菌的抑菌作用因菌种而异。图4表4参16
2016, 33(6): 1052-1057.
doi: 10.11833/j.issn.2095-0756.2016.06.018
摘要:
为了揭示真空热处理对日本落叶松Larix kaempferi木材的作用机制,以日本落叶松木材为研究对象,分别在160,180,200,220和240℃的条件下对木材进行真空-常压热处理4 h。采用X射线衍射法研究了热处理对木材结晶性能的影响;利用傅里叶红外光谱、固体核磁共振和电子自旋共振分析了木材在热处理过程中化学基团和表面自由基的变化。结果表明:经真空度为0.05~0.09 MPa联合常压热处理后,木材纤维素结晶度的变化趋势为先增大,后减小,再增大。未处理材结晶度为36.21%,热处理温度为160,180,200,220和240℃时,木材的结晶度分别为43.56%,46.26%,32.09%,32.66%和37.97%。随着热处理温度的升高,木材中羰基官能团减少,热处理过程中木材半纤维素发生降解脱除乙酰基,酚型木素结构单元增多,醚化木质素结构单元减少。热处理前后木材表面自由基类型未发生改变,随着热处理温度的升高,木材表面自由基的数量增加。真空热处理对半纤维素与木质素产生了不同程度的影响,对纤维素的影响相对较小,通过对不同热处理条件下日本落叶松木材化学性质的分析,进一步阐释了真空热处理对木材的作用机制。图3表2参23
为了揭示真空热处理对日本落叶松Larix kaempferi木材的作用机制,以日本落叶松木材为研究对象,分别在160,180,200,220和240℃的条件下对木材进行真空-常压热处理4 h。采用X射线衍射法研究了热处理对木材结晶性能的影响;利用傅里叶红外光谱、固体核磁共振和电子自旋共振分析了木材在热处理过程中化学基团和表面自由基的变化。结果表明:经真空度为0.05~0.09 MPa联合常压热处理后,木材纤维素结晶度的变化趋势为先增大,后减小,再增大。未处理材结晶度为36.21%,热处理温度为160,180,200,220和240℃时,木材的结晶度分别为43.56%,46.26%,32.09%,32.66%和37.97%。随着热处理温度的升高,木材中羰基官能团减少,热处理过程中木材半纤维素发生降解脱除乙酰基,酚型木素结构单元增多,醚化木质素结构单元减少。热处理前后木材表面自由基类型未发生改变,随着热处理温度的升高,木材表面自由基的数量增加。真空热处理对半纤维素与木质素产生了不同程度的影响,对纤维素的影响相对较小,通过对不同热处理条件下日本落叶松木材化学性质的分析,进一步阐释了真空热处理对木材的作用机制。图3表2参23
2016, 33(6): 1058-1066.
doi: 10.11833/j.issn.2095-0756.2016.06.019
摘要:
蔺草Juncus effusus茎秆是一种优质天然纤维。研究蔺草茎秆解剖构造与力学性能,为全面了解蔺草及其纤维的开发利用提供理论依据。以5份蔺草种质为研究对象,观测其解剖构造,运用电子万能力学试验机测试其力学性能,并分析解剖构造与力学性能之间的关系。结果表明:蔺草底部茎秆微观结构分为表皮、基本组织、维管束和髓;蔺草纤维呈纺锤形,长度为681.47~712.04 μm,宽度为5.58~8.00 μm,壁腔比范围为1.194~1.556;5份蔺草种质底部茎秆的最大拉力范围为61.59~72.71 N,XY004的最大拉力最高,拉伸强度为33.28~59.11 MPa,XY003的拉伸强度最大,拉伸弹性模量为1 438.23~2 297.10 MPa;蔺草底部茎秆拉伸强度、拉伸弹性模量与其维管束总数目呈极显著正相关,相关系数分别为0.818和0.724,与茎壁厚/茎半径也呈极显著正相关,相关系数分别为0.740和0.748,与纤维的壁腔比呈显著正相关,相关系数分别为0.584和0.663,与粗纤维质量分数无显著相关性;蔺草底部茎秆力学性能主要取决于茎秆维管束总数目、基本组织厚度和纤维的壁腔比以及各组织及其各细胞之间的连接形式和连接强度。供试的5份蔺草种质中,XY003和XY004底部茎秆具有较高的强度和良好的弹性,可作为优良蔺草品种选育的种质资源。图4表4参33
蔺草Juncus effusus茎秆是一种优质天然纤维。研究蔺草茎秆解剖构造与力学性能,为全面了解蔺草及其纤维的开发利用提供理论依据。以5份蔺草种质为研究对象,观测其解剖构造,运用电子万能力学试验机测试其力学性能,并分析解剖构造与力学性能之间的关系。结果表明:蔺草底部茎秆微观结构分为表皮、基本组织、维管束和髓;蔺草纤维呈纺锤形,长度为681.47~712.04 μm,宽度为5.58~8.00 μm,壁腔比范围为1.194~1.556;5份蔺草种质底部茎秆的最大拉力范围为61.59~72.71 N,XY004的最大拉力最高,拉伸强度为33.28~59.11 MPa,XY003的拉伸强度最大,拉伸弹性模量为1 438.23~2 297.10 MPa;蔺草底部茎秆拉伸强度、拉伸弹性模量与其维管束总数目呈极显著正相关,相关系数分别为0.818和0.724,与茎壁厚/茎半径也呈极显著正相关,相关系数分别为0.740和0.748,与纤维的壁腔比呈显著正相关,相关系数分别为0.584和0.663,与粗纤维质量分数无显著相关性;蔺草底部茎秆力学性能主要取决于茎秆维管束总数目、基本组织厚度和纤维的壁腔比以及各组织及其各细胞之间的连接形式和连接强度。供试的5份蔺草种质中,XY003和XY004底部茎秆具有较高的强度和良好的弹性,可作为优良蔺草品种选育的种质资源。图4表4参33
2016, 33(6): 1067-1072.
doi: 10.11833/j.issn.2095-0756.2016.06.020
摘要:
为了无损检测足尺人造板的弹性模量,提出一种基于薄板横向自由振动原理的测定方法。利用自行开发的足尺人造板力学性能检测试验装置,以206张足尺人造板为试验对象,包括86张刨花板和120张胶合板,进行了测定试验。同时,从每张板材上裁制6块小试件,通过传统的小试件3点弯曲检测法来获得静态弹性模量,并将2种检测方法的结果进行对比。结果表明:以所有足尺人造板为研究对象,足尺人造板动态弹性模量比其静态弹性模量稍大,两者比值为1.03~1.22;2种检测方法获得的足尺人造板弹性模量值间的相关系数为0.94(P<0.001),证明基于薄板横向自由振动原理的足尺人造板弹性模量振动方式测定是可行的。图5表4参19
为了无损检测足尺人造板的弹性模量,提出一种基于薄板横向自由振动原理的测定方法。利用自行开发的足尺人造板力学性能检测试验装置,以206张足尺人造板为试验对象,包括86张刨花板和120张胶合板,进行了测定试验。同时,从每张板材上裁制6块小试件,通过传统的小试件3点弯曲检测法来获得静态弹性模量,并将2种检测方法的结果进行对比。结果表明:以所有足尺人造板为研究对象,足尺人造板动态弹性模量比其静态弹性模量稍大,两者比值为1.03~1.22;2种检测方法获得的足尺人造板弹性模量值间的相关系数为0.94(P<0.001),证明基于薄板横向自由振动原理的足尺人造板弹性模量振动方式测定是可行的。图5表4参19
2016, 33(6): 1073-1077.
doi: 10.11833/j.issn.2095-0756.2016.06.021
摘要:
生物燃料的发展一直是国内外热议话题。从价格视角讨论了燃料乙醇和玉米Zea mays市场间的相互关联程度及互动影响,基于此分析现阶段国际上生物燃料发展是否仍会对粮食安全产生严重威胁。以美国为例,利用2006-2015年共38季度时间序列数据,综合社会、经济、政策等因素构建了玉米价格和燃料乙醇价格间的联立方程组,分析了各自的影响因素以及2个价格间双向、不对称的相互作用关系。得出:影响玉米价格的主要因素依次为政策、玉米产量、美元价格指数和燃料乙醇价格;影响燃料乙醇价格的主要因素依次是汽油价格、居民收入和玉米价格,玉米价格和燃料乙醇价格间存在正向的相互影响,作用力相对较弱。能源用途和食物用途对农产品的争夺并不是造成农作物价格上涨的主要推动力,价格上涨的推动力更多来自于其他外生变量变化所导致的供给、需求不平衡。表3参15
生物燃料的发展一直是国内外热议话题。从价格视角讨论了燃料乙醇和玉米Zea mays市场间的相互关联程度及互动影响,基于此分析现阶段国际上生物燃料发展是否仍会对粮食安全产生严重威胁。以美国为例,利用2006-2015年共38季度时间序列数据,综合社会、经济、政策等因素构建了玉米价格和燃料乙醇价格间的联立方程组,分析了各自的影响因素以及2个价格间双向、不对称的相互作用关系。得出:影响玉米价格的主要因素依次为政策、玉米产量、美元价格指数和燃料乙醇价格;影响燃料乙醇价格的主要因素依次是汽油价格、居民收入和玉米价格,玉米价格和燃料乙醇价格间存在正向的相互影响,作用力相对较弱。能源用途和食物用途对农产品的争夺并不是造成农作物价格上涨的主要推动力,价格上涨的推动力更多来自于其他外生变量变化所导致的供给、需求不平衡。表3参15
2016, 33(6): 1078-1084.
doi: 10.11833/j.issn.2095-0756.2016.06.022
摘要:
林业产业竞争力水平的定量评价是开展林业工作和制定林业政策的重要基础。以林业产业竞争力为研究对象,构建由林业资源禀赋、林业市场产出、林业市场投入、林业人力资本配置情况和林业灾害风险强度等5个一级指标下的共计17个二级指标组成的中国林业产业竞争力水平的评价指标体系;基于中国15省(自治区)2009-2013年相关统计数据,运用主成分分析法,评价全国和各省(区)的林业产业竞争力水平及其变化趋势。研究表明:中国林业产业竞争力水平发展缓慢,2009-2012年间中国林业产业竞争力水平指数由4.097缓慢升至4.140,总体上升幅度为1.05%,但在2013年呈下降趋势,其林业产业竞争力水平指数降至3.972,下降幅度为4.06%;全国各省(自治区)的林业产业竞争力水平发展不平衡,四川、广西、云南和湖南每年林业产业竞争力水平均领先全国。图1表3参11
林业产业竞争力水平的定量评价是开展林业工作和制定林业政策的重要基础。以林业产业竞争力为研究对象,构建由林业资源禀赋、林业市场产出、林业市场投入、林业人力资本配置情况和林业灾害风险强度等5个一级指标下的共计17个二级指标组成的中国林业产业竞争力水平的评价指标体系;基于中国15省(自治区)2009-2013年相关统计数据,运用主成分分析法,评价全国和各省(区)的林业产业竞争力水平及其变化趋势。研究表明:中国林业产业竞争力水平发展缓慢,2009-2012年间中国林业产业竞争力水平指数由4.097缓慢升至4.140,总体上升幅度为1.05%,但在2013年呈下降趋势,其林业产业竞争力水平指数降至3.972,下降幅度为4.06%;全国各省(自治区)的林业产业竞争力水平发展不平衡,四川、广西、云南和湖南每年林业产业竞争力水平均领先全国。图1表3参11
2016, 33(6): 1085-1091.
doi: 10.11833/j.issn.2095-0756.2016.06.023
摘要:
为揭示中药材黄精种质资源的遗传多样性及种源间亲缘关系,建立了目标起始密码子多态性分子标记(SCoT)方法,采用非加权平均距离法(UPGMA)和主坐标分析(PCoA)等方法对19份不同种源的黄精Polygonatum材料进行分析。从待选的29个引物中筛选出15个SCoT引物用于扩增基因组DNA,总共得到500个条带,平均每个引物产生33.3个条带,其中多态性条带498个,多态性比率为99.6%,19个黄精种质间的遗传相似系数范围为0.554 0~0.734 0。结果表明:不同种源的黄精种质有较丰富的遗传多样性,SCoT分子标记可以为黄精的分类及鉴别提供一定的依据,为中药黄精优良品种的培育及资源可持续利用提供研究基础。图3表3参20
为揭示中药材黄精种质资源的遗传多样性及种源间亲缘关系,建立了目标起始密码子多态性分子标记(SCoT)方法,采用非加权平均距离法(UPGMA)和主坐标分析(PCoA)等方法对19份不同种源的黄精Polygonatum材料进行分析。从待选的29个引物中筛选出15个SCoT引物用于扩增基因组DNA,总共得到500个条带,平均每个引物产生33.3个条带,其中多态性条带498个,多态性比率为99.6%,19个黄精种质间的遗传相似系数范围为0.554 0~0.734 0。结果表明:不同种源的黄精种质有较丰富的遗传多样性,SCoT分子标记可以为黄精的分类及鉴别提供一定的依据,为中药黄精优良品种的培育及资源可持续利用提供研究基础。图3表3参20
2016, 33(6): 1092-1097.
doi: 10.11833/j.issn.2095-0756.2016.06.024
摘要:
为研究塑料大棚内葡萄Vitis vinifera促成栽培中萌芽期根区土壤加温对树体生长发育、果实品质以及土壤温度的影响,试验以5年生红地球葡萄Vitis vinifera‘Red Globe’为试材,在需冷量满足后进行根区土壤加温处理,设置(25±1)℃/(15±1)℃(昼/夜)(简称T25)和(20±1)℃/(15±1)℃(昼/夜)(简称T20)和对照(ck)等3个温度梯度,探讨它们对土壤温度、葡萄物候期、树体生长发育和果实品质的影响。结果表明:萌芽期T25和T20处理下土壤日平均温度分别比ck高13.1℃和8.4℃;萌芽期分别比对照提早26,20 d,始花期提早27,21 d,成熟期提早18,10 d;新梢长度和粗度、单株果穗数显著增加(P<0.05);可溶性固形物、维生素C质量分数增加,酸质量分数降低,果实品质提高;果穗质量和单株产量均显著高于对照(P<0.05)。说明萌芽期适当提高土壤温度可以使葡萄提早解除生态抑制性休眠,提前进入萌芽,果实品质改善,提早上市。图3表5参13
为研究塑料大棚内葡萄Vitis vinifera促成栽培中萌芽期根区土壤加温对树体生长发育、果实品质以及土壤温度的影响,试验以5年生红地球葡萄Vitis vinifera‘Red Globe’为试材,在需冷量满足后进行根区土壤加温处理,设置(25±1)℃/(15±1)℃(昼/夜)(简称T25)和(20±1)℃/(15±1)℃(昼/夜)(简称T20)和对照(ck)等3个温度梯度,探讨它们对土壤温度、葡萄物候期、树体生长发育和果实品质的影响。结果表明:萌芽期T25和T20处理下土壤日平均温度分别比ck高13.1℃和8.4℃;萌芽期分别比对照提早26,20 d,始花期提早27,21 d,成熟期提早18,10 d;新梢长度和粗度、单株果穗数显著增加(P<0.05);可溶性固形物、维生素C质量分数增加,酸质量分数降低,果实品质提高;果穗质量和单株产量均显著高于对照(P<0.05)。说明萌芽期适当提高土壤温度可以使葡萄提早解除生态抑制性休眠,提前进入萌芽,果实品质改善,提早上市。图3表5参13
2016, 33(6): 1098-1102.
doi: 10.11833/j.issn.2095-0756.2016.06.025
摘要:
报道了发现于宁波市的7种浙江新记录植物,隶属于7科7属。分别是骨碎补科Davalliaceae的杯盖阴石蕨Humata griffithiana(Hook.)C.Chr.;石竹科Caryophyllaceae的石竹Dianthus chinensis Linn.;十字花科Cruciferae的大顶叶碎米荠Cardamine scutata Thunb.var.longiloba P.Y.Fu;玄参科Scrophulariaceae的有腺泽番椒Deinostema adenocaula(Maxim.)T.Yamazaki;禾本科Gramineae的日本苇Phragmites japonicus Steud.;百合科Liliaceae的朝鲜韭Allium sacculiferum Maxim.;兰科Orchidaceae的密花鸢尾兰Oberonia seidenfadenii(H.J.Su)Ormerod。所有凭证标本均存放在浙江农林大学植物标本馆(ZJFC)。参28
报道了发现于宁波市的7种浙江新记录植物,隶属于7科7属。分别是骨碎补科Davalliaceae的杯盖阴石蕨Humata griffithiana(Hook.)C.Chr.;石竹科Caryophyllaceae的石竹Dianthus chinensis Linn.;十字花科Cruciferae的大顶叶碎米荠Cardamine scutata Thunb.var.longiloba P.Y.Fu;玄参科Scrophulariaceae的有腺泽番椒Deinostema adenocaula(Maxim.)T.Yamazaki;禾本科Gramineae的日本苇Phragmites japonicus Steud.;百合科Liliaceae的朝鲜韭Allium sacculiferum Maxim.;兰科Orchidaceae的密花鸢尾兰Oberonia seidenfadenii(H.J.Su)Ormerod。所有凭证标本均存放在浙江农林大学植物标本馆(ZJFC)。参28